Добавить в корзинуПозвонить
Найти в Дзене

Как стареют наши зубы?

Зубы начинаются в животике у мамы – закладка тканей челюстей и зачатков зубов происходит на 2 – 3 месяце беременности. У малышей формироваться молочные зубы начинают на 7 месяце беременности мамы. Их будет всего 20. Именно небольшие молочные зубки будут обеспечивать первую нагрузку на челюсти. Потом, когда организм начнет становиться большим и сильным, нужна будет разная пища в больших количествах, - они уступят место постоянным коренным зубам. Это очень хорошо – смена зубов позволяет обеспечить измельчение пищи для организма на всем протяжении человеческой жизни, а также правильное развитие челюстного комплекса. Как и весь организм, зубы развиваются, достигают своей зрелости и начинают стареть. Их характеристики меняются. И вот каким образом … Старость наших зубов – какая она? Как выглядят старые зубы? С течением времени зубы начинают стираться и терять свои характеристики. Чем старше становится человек, тем большим изменениям подвержены зубы. Первое, что бросается в глаза опытным ст
Оглавление

Зубы начинаются в животике у мамы – закладка тканей челюстей и зачатков зубов происходит на 2 – 3 месяце беременности. У малышей формироваться молочные зубы начинают на 7 месяце беременности мамы. Их будет всего 20. Именно небольшие молочные зубки будут обеспечивать первую нагрузку на челюсти. Потом, когда организм начнет становиться большим и сильным, нужна будет разная пища в больших количествах, - они уступят место постоянным коренным зубам.

Это очень хорошо – смена зубов позволяет обеспечить измельчение пищи для организма на всем протяжении человеческой жизни, а также правильное развитие челюстного комплекса.

Как и весь организм, зубы развиваются, достигают своей зрелости и начинают стареть. Их характеристики меняются. И вот каким образом …

Старость наших зубов – какая она? Как выглядят старые зубы?

С течением времени зубы начинают стираться и терять свои характеристики. Чем старше становится человек, тем большим изменениям подвержены зубы.

Первое, что бросается в глаза опытным стоматологам – это стертость поверхности зубов:

- с 60 лет – более, чем у 60% пациентов стерты зубы;

- с 70 лет – более, чем у 80%;

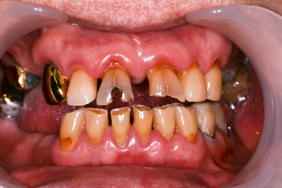
Стертые зубы у пожилых пациентов без должного ухода - доктора стоматологии Холидент рекомендуют профилактические приемы у стоматологов, чтобы избежать крайних случаев
Стертые зубы у пожилых пациентов без должного ухода - доктора стоматологии Холидент рекомендуют профилактические приемы у стоматологов, чтобы избежать крайних случаев

- с 90 лет – у 100% пациентов поверхность зубов стерта.

Резцовая область стирается в первую очередь. Ярко видна недостаточная выпуклость передних зубов.

Если стираемость зубов определить в баллах, то можно их распределить следующим образом:

  • 0 баллов - полное отсутствие стертости;
  • 1 балл - коронки зуба с сошлифованными поверхностями, сглаженные бугры жевательных зубов - характерны для подростков и взрослых возраста 16 - 20 лет;
  • 2 балла - стертая эмаль с обнаженным дентином на резцах и буграх зубов - проявляется в возрасте 20 - 30 лет;
  • 3 балла - еще большее оголение дентина, эмаль остается только в бороздках - что происходит в возрасте 30 - 50 лет;
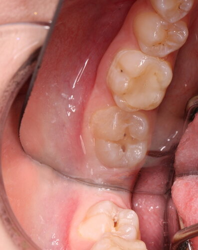
Зубы зрелого человека 35+
Зубы зрелого человека 35+
  • 4 балла - стерта не только эмаль, но и сама коронка зуба стала меньше (а корень оголился и стал больше) - это уже в 50 - 60 лет;
  • 5 баллов - стерта уже половина коронки - это происходит в 60 - 70 лет;
  • 6 баллов - коронка стерта до шейки зуба - 70+ лет пациенту.

Как видите, по стертости зубов можно примерно определить возраст человека.

Зубы в старости – что с ними будет?

Зубы постоянно подвергаются воздействию химических соединений, остатков пищи, различных сред - и кислотных, и соленых. Слюна частично обеззараживает полость рта и обеспечивает защиту и питание зубов.
Но справиться с налетом, зубным камнем она в принципе не может. Поэтому с течением времени зубы теряют свою прочность.

Мы постарались осветить в статье все возможные возрастные изменения зубов:

  1. С возрастом стираются края резцов.
  2. Эмаль и дентин стираются на наиболее нагруженных участках.
  3. Эмаль тускнеет, истончается и сквозь нее начинает просвечивать дентин – он более темный, в нем нет прозрачности.
  4. На эмали появляются трещины, на ней остается постоянный налет, эмаль может окрашиваться от пищи.
  5. Эмаль не имеет возможности самообновления и восстановления при повреждениях.
  6. Органики в составе эмали, дентина и цемента становится все меньше, что делает зубы более хрупкими.
Резцы стираются первыми, как видите. Но в стоматологии Холидент в Воронеже делают сложные реставрации.
Резцы стираются первыми, как видите. Но в стоматологии Холидент в Воронеже делают сложные реставрации.
  1. Кроме того, обновление дентина почти полностью прекращается.
  2. Из-за налета проницаемость эмали для воды, аминокислот, ионов становится низкой.
  3. Количество цемента в корнях зуба с возрастом увеличивается.
  4. После 40 – 50 лет в периодонте возникают склеротические изменения.
  5. Мягкие ткани теряют свой тонус, что приводит к расшатыванию зубов.
  6. Костная ткань становится более рыхлой, изменяется высота зубов.
  7. Рецессия десен – это часто тоже следствие возраста, периодонтита и постоянного налета.
  8. В пульпе, в результате старения, становится все меньше сосудов. Как итог – заживление протекает хуже и более длительно.
  9. Снижается уровень фермента, ответственного за заживление кости. Происходит атрофия альвеолярного отростка.
  10. В возрастом кость теряет свою массу, истончается. Челюстно-лицевые кости, с которыми связана судьба наших зубов – тоже.
  11. При потере зубов происходит изменение височно-челюстного сустава, почти всегда происходит смещение сустава вперед, если не поставить зубы в кратчайшие сроки после их потери. Именно с изменением его работы связан эффект старческого низкого подбородка.

Теперь вы понимаете, что костная ткань – не вечная, не восстановится сама и красивая улыбка – это результат регулярных визитов к стоматологу?

А самое главное – не навредить некачественным протезированием! Неправильное распределение нагрузки, перегрузка отдельных областей челюсти во время жевания тоже очень пагубны для ваших улыбок! Могут сломаться и оставшиеся родные зубы, и даже импланты.

Следите за своей внешностью и приходите к нам за красивыми улыбками!

С уважением, стоматология Холидент, г. Воронеж

Телефон для записи: 8-951-864-77-11