Найти в Дзене

Познавательно о пневмонии.

Оглавление

* Пневмония - острое инфекционное (преимущественно бактериальное) заболевание, характеризующееся очаговым поражением респираторных отделов легких с обязательным наличием внутриальвеолярной экссудации.

* Какие инфекционные агенты вызывают пневмонию?

Перечень потенциальных возбудителей ПНЕВМОНИИ включает более 100 микроорганизмов (бактерии, вирусы, грибы, простейшие). Однако большинство случаев заболевания ассоциируется с относительно небольшим кругом патогенов:

  • S. pneumoniae
  • M. pneumoniae
  • C. pneumoniae
  • H. influenzae
  • респираторные вирусы
  • энтеробактерии
  • S. aureus
  • L. pneumophila.

ПНЕВМОНИИ помимо бактериальных возбудителей могут вызывать респираторные вирусы, наиболее часто вирусы гриппа, коронавирусы, риносинцитиальный вирус, метапневмовирус человека, бокавирус человека. Частота выявления респираторных вирусов у пациентов с пневмонией носит выраженный сезонный характер и возрастает в холодное время года. Различают первичную вирусную пневмонию (развивается в результате непосредственного вирусного поражения легких) и вторичную бактериальную пневмонию, которая может сочетаться с первичным вирусным поражением легких или быть самостоятельным поздним осложнением респираторной вирусной инфекции (в первую очередь гриппа). В большинстве случаев пневмонии, вызываемые респираторными вирусами, характеризуются не тяжелым течением, однако у лиц пожилого и старческого возраста, при наличии сопутствующих бронхолегочных, сердечно-сосудистых заболеваний или иммунодефицита они могут ассоциироваться с развитием тяжелых, угрожающих жизни осложнений

-2

* Как проявляется пневмония?

Клинические симптомы и признаки пневмонии широко варьируются, что обусловлено такими факторами, как различный объем и локализация поражения, вид возбудителя, выраженность “ответа” макроорганизма на инфекцию.

Для ПНЕВМОНИИ характерны:

  • Острый кашель
  • Одышка
  • Отделение мокроты и/или боли в грудной клетке, связанные с дыханием
  • Лихорадка

Больные, переносящие пневмонию, часто жалуются на немотивированную слабость, утомляемость, ознобы, сильное потоотделение по ночам.

* Критерии установления диагноза:

Диагноз ПНЕВМОНИЯ является определенным при наличии у пациента:

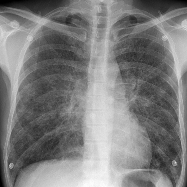
1) Рентгенологически подтвержденной очаговой инфильтрации легочной ткани и, по крайней мере, двух клинических симптомов и признаков из числа следующих:

  • остро возникшая лихорадка в начале заболевания (t 0 > 38,0°С);
  • кашель с мокротой;
  • физические признаки (фокус крепитации/мелкопузырчатых хрипов, бронхиальное дыхание, укорочение перкуторного звука);
  • лейкоцитоз > 10х109 /л и/или палочкоядерный сдвиг (> 10%).