Добавить в корзинуПозвонить
Найти в Дзене
Нейроновости

При мигрени пространства вокруг сосудов мозга расширяются

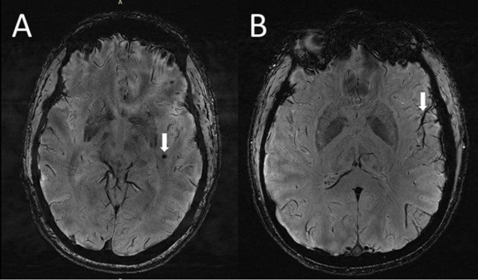
Мигрень – весьма изнурительное состояние для человека, сопровождающееся сильной головной болью, часто – тошнотой, слабостью и чувствительностью к свету. Исследователи из США впервые изучили микрососудистые изменения в головном мозге с применением МРТ сверхвысокого поля 7 Тесла и обнаружили значительные изменения в периваскулярных пространствах полуовального центра, коррелирующие с мигренью. Об этом исследователи расскажут на Ежегодном собрании Радиологического общества Северной Америки, которое стартовало в Чикаго вчера. (A) Церебральные микрокровоизлияния, визуализируемые как круглые темные участки (стрелка) на SWI-последовательности в левой височной доле в случае мигрени с аурой. (B) Асимметрия внешнего вида корковых сосудов более заметна на левой стороне (стрелка) ипсилатеральнее микроизлияния. Credit: RSNA and Wilson Xu. Периваскулярные пространства представляют собой заполненные жидкостью полости, окружающие кровеносные сосуды головного мозга. Чаще всего они локализуются в базальн

Мигрень – весьма изнурительное состояние для человека, сопровождающееся сильной головной болью, часто – тошнотой, слабостью и чувствительностью к свету. Исследователи из США впервые изучили микрососудистые изменения в головном мозге с применением МРТ сверхвысокого поля 7 Тесла и обнаружили значительные изменения в периваскулярных пространствах полуовального центра, коррелирующие с мигренью. Об этом исследователи расскажут на Ежегодном собрании Радиологического общества Северной Америки, которое стартовало в Чикаго вчера.

(A) Церебральные микрокровоизлияния, визуализируемые как круглые темные участки (стрелка) на SWI-последовательности в левой височной доле в случае мигрени с аурой. (B) Асимметрия внешнего вида корковых сосудов более заметна на левой стороне (стрелка) ипсилатеральнее микроизлияния. Credit: RSNA and Wilson Xu.

Периваскулярные пространства представляют собой заполненные жидкостью полости, окружающие кровеносные сосуды головного мозга. Чаще всего они локализуются в базальных ганглиях и белом веществе головного мозга, а также вдоль зрительного тракта. Они считаются частью системы выведения жидкости в головном мозге (глимфатической системы). Расширение периваскулярных пространств может быть признаком наличия основного заболевания мелких сосудов.

Исследователи Медицинской школы Кека Университета Южной Калифорнии в Лос-Анджелесе (США) на днях анонсировали новую работу, где они описали значительные изменения в периваскулярных пространствах при хронической и эпизодической мигрени без ауры. Исследователи впервые сообщили о том, что изменения затрагивают полуовальный центр (centrum semiovale) – центральную часть белого вещества, находящуюся под корой головного мозга.

Для того чтобы изучить связи между мигренью и расширением периваскулярных пространств, исследователи сравнили структурные микрососудистые изменения при различных типах мигрени с помощью МРТ в сверхвысоком поле 7-тесловой индукции (обычные томографы, использующиеся в клинике, имеют магнитную индукцию 1,5 и 3 Тесла). Ученые отмечают, что их исследование, насколько им известно, первое, в котором использовалась эта технология для анализа изменений микрососудов головного мозга при мигрени. МР томограф 7Т способен создавать изображения головного мозга с гораздо более высоким разрешением и лучшим качеством по сравнению с другими менее «мощными» аппаратами. Ее можно использовать для демонстрации мелких изменений, которые происходят в тканях мозга после мигрени.

В исследовании приняли участие 10 добровольцев с хронической мигренью, 10 – с эпизодической без ауры и 5 здоровых людей. Исследователи обнаружили увеличение периваскулярных пространств в полуовальном центре и областях базальных ганглиев головного мозга. Гиперинтенсивность белого вещества — поражения, которые «загораются» на МРТ, — измеряли по шкале Фазекас. Церебральные микрокровоизлияния оценивали по анатомической шкале оценки микрокровоизлияний. Исследователи также собрали некоторые клинические данные: о продолжительности и тяжести заболевания, симптомах во время сканирования, наличия ауры и стороны головной боли.

Статистический анализ показал, что количество расширенных периваскулярных пространств в полуовальном центре было значительно выше у пациентов с обоими типами мигрени по сравнению со здоровыми людьми. Кроме того, увеличение объема периваскулярного пространства в полуовальном центре коррелировало с выраженностью гиперинтенсивности глубокого белого вещества у больных мигренью. И хотя каких-либо значительных изменений в тяжести поражения белого вещества у пациентов с мигренью обнаружено не было, тем не менее оно в значительной степени было связано с наличием расширенных периваскулярных пространств. По-видимому, изменения в этих структурах могут привести к развитию большего количества поражений белого вещества в будущем.

Исследователи предполагают, что значительные различия в периваскулярных пространствах у пациентов с мигренью по сравнению со здоровым контролем могут свидетельствовать о нарушении глимфатических узлов в головном мозге. Глимфатическая система представляет собой систему удаления отходов, которая использует периваскулярные каналы для выведения растворимых белков и метаболитов из центральной нервной системы. Однако неизвестно, влияют ли такие изменения на развитие мигрени или они являются ее следствием. Продолжение исследования с большим числом пациентов и лонгитюдным наблюдением позволит лучше установить взаимосвязь между структурными изменениями и развитием и типом мигрени.

Результаты работы будут представлены на Ежегодном собрании Радиологического общества Северной Америки.

Текст: Анна Удоратина