Добавить в корзинуПозвонить
Найти в Дзене
Naked Science

Загадку мигрени связали с расширением полостей мозга

Медики впервые рассмотрели мозг больных с мигренью в томографе сверхвысокого разрешения. Обнаружилось, что полости, которые окружают проходящие там сосуды и участвуют в очистке мозга, у них увеличены. Возможно, это следствие болезни, а возможно — одна из ее причин. Более десяти процентов жителей Земли страдают от мигрени — периодических приступов сильной головной боли. Она нередко сопровождается тошнотой, гиперчувствительностью к внешним раздражителям и специфическими визуальными переживаниями — аурой. У некоторых людей такие приступы длятся несколько часов, у других могут продолжаться целыми днями. Часто их «запускают» определенные триггеры, провоцирующие факторы. Кроме того, риск развития мигрени отчасти наследуется, однако первопричина болезни неизвестна, и она остается неизлечимой. Ученым из Университета Южной Калифорнии впервые удалось исследовать мозг страдающих мигренью пациентов с помощью магнитно-резонансной томографии сверхвысокого разрешения (7T MRI). Оказалось, в сравнении
   Переживание ауры, изображенное пациентом по собственным ощущениям / ©Kronos, Wikimedia Commons
Переживание ауры, изображенное пациентом по собственным ощущениям / ©Kronos, Wikimedia Commons

Медики впервые рассмотрели мозг больных с мигренью в томографе сверхвысокого разрешения. Обнаружилось, что полости, которые окружают проходящие там сосуды и участвуют в очистке мозга, у них увеличены. Возможно, это следствие болезни, а возможно — одна из ее причин.

Более десяти процентов жителей Земли страдают от мигрени — периодических приступов сильной головной боли. Она нередко сопровождается тошнотой, гиперчувствительностью к внешним раздражителям и специфическими визуальными переживаниями — аурой. У некоторых людей такие приступы длятся несколько часов, у других могут продолжаться целыми днями. Часто их «запускают» определенные триггеры, провоцирующие факторы. Кроме того, риск развития мигрени отчасти наследуется, однако первопричина болезни неизвестна, и она остается неизлечимой.

Ученым из Университета Южной Калифорнии впервые удалось исследовать мозг страдающих мигренью пациентов с помощью магнитно-резонансной томографии сверхвысокого разрешения (7T MRI). Оказалось, в сравнении со здоровыми людьми у них существенно увеличены периваскулярные пространства — щели, которые окружают сосуды центральной нервной системы и участвуют в переносе веществ между нею и остальным организмом. В ближайшие дни авторы представят свою работу на ежегодной встрече Радиологического общества Северной Америки (RSNA), а пока о ней рассказывается в пресс-релизе RSNA.

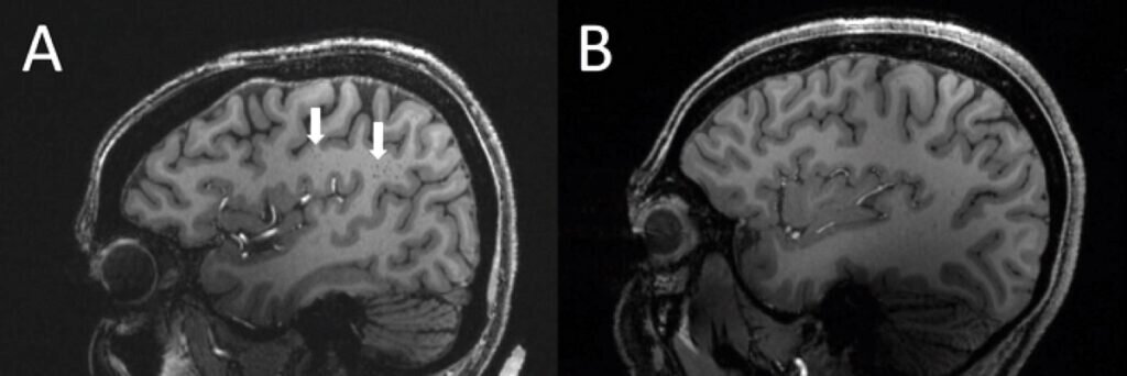
   Слева — МРТ мозга пациента с мигренью; стрелками показана область полуовального центра с расширенными периваскулярными пространствами. Справа — МРТ здорового мозга / ©Wilson Xu, RSNA
Слева — МРТ мозга пациента с мигренью; стрелками показана область полуовального центра с расширенными периваскулярными пространствами. Справа — МРТ здорового мозга / ©Wilson Xu, RSNA

Насим Шейх-Бахеи (Nasim Sheikh-Bahaei) и его коллеги обследовали десять добровольцев с классической мигренью и столько же страдающих от хронической мигрени, приступы которой сопровождаются аурой и случаются крайне часто. Контрольной группой выступили пять здоровых человек. В сравнении с ними у всех больных с мигренью периваскулярные пространства были расширены. Особенно заметно такое расширение оказалось в области полуовального центра — скопления белого вещества близ мозолистого тела, которое соединяет полушария друг с другом.

Расширение периваскулярных пространств считается важным диагностическим признаком повреждений мозга и неврологических заболеваний, включая некоторые виды деменции. Однако у больных мигренью подобное заметили впервые, и пока окончательно не ясно, как они связаны друг с другом. Периваскулярные пространства играют большую роль в очищении мозга от скапливающихся продуктов метаболизма. Возможно, их аномальное расширение свидетельствует о нарушении этой очистки, что и ведет к развитию мигрени. Но есть вероятность, что оно стало следствием более глубоких изменений — таким же симптомом, как сама головная боль.