Добавить в корзинуПозвонить
Найти в Дзене
Наталия Анисимова

Дифтерия. Чем отличается от обычной ангины?

Так чем же отличается обычная ангина от дифтерии? Признаки дифтерии зависят от локализации возбудителя.  Что бывает при дифтерии? Давайте разбираться. - Толстые серые налеты, покрывающие миндалины, горло; -боль в горле, охриплость голоса; -увеличение лимфузлов шеи и отёк вокруг них; - затрудненное и частое дыхание; - выделения из носа; -общее недомогание; - повышение температуры тела от 38 С до 40 С; - сонливость и слабость; - сильные головные боли; - трудности при попытке проглотить пищу или даже воду. Уже на 2 день формируются дифтерийные плёнки. Их практически невозможно снять. При снятии плёнки появляется кровоточивость ранки, а потом вновь образуется плёнка. Замкнутый круг. У больных увеличиваются лимфузлы шеи и грудной клетки. Появляется отёк шеи (" бычья шея"). И если пропальпировать шею( потрогать), то будет характерный звук, похожий на хруст снега. Также при дифтерии может развиться отёк гортани, который в свою очередь приведёт к остановке дыхания.  При любом воспалении ми

Так чем же отличается обычная ангина от дифтерии?

Признаки дифтерии зависят от локализации возбудителя. 

Что бывает при дифтерии?

Давайте разбираться.

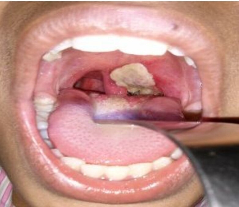
- Толстые серые налеты, покрывающие миндалины, горло;

-боль в горле, охриплость голоса;

-увеличение лимфузлов шеи и отёк вокруг них;

- затрудненное и частое дыхание;

- выделения из носа;

-общее недомогание;

- повышение температуры тела от 38 С до 40 С;

- сонливость и слабость;

- сильные головные боли;

- трудности при попытке проглотить пищу или даже воду.

Уже на 2 день формируются дифтерийные плёнки. Их практически невозможно снять. При снятии плёнки появляется кровоточивость ранки, а потом вновь образуется плёнка. Замкнутый круг.

Налёты на миндалинах при дифтерии-1
Налёты на миндалинах при дифтерии-1
Налеты на миндалинах при дифтерии- 2
Налеты на миндалинах при дифтерии- 2

У больных увеличиваются лимфузлы шеи и грудной клетки. Появляется отёк шеи (" бычья шея"). И если пропальпировать шею( потрогать), то будет характерный звук, похожий на хруст снега. Также при дифтерии может развиться отёк гортани, который в свою очередь приведёт к остановке дыхания. 

При любом воспалении миндалин необходим мазок на дифтерию из зева и носа.

Для получения быстрого результата применяют анализ на дифтерию методом ПЦР. Используют бактериологическое исследование полученного материала. Также определяют антитела к токсину бактерии.

Обычные средства при данном заболевании не помогут!

Необходимо обратиться к врачу!

И уже в стационарных условиях начать введение противодифтерийной сыворотки. Вместе с этим назначается антибактериальная и общеукрепляющая терапия. 

Госпитализации подлежат и выявленные во время осмотров носители токсигенных возбудителей. Им назначается антибактериальная терапия.

Подписывайтесь и приходите на консультацию.

Запись WhatsApp +79202312502