Найти в Дзене
Хайтек

МРТ со сверхвысоким разрешением показало, как мигрени меняют мозг

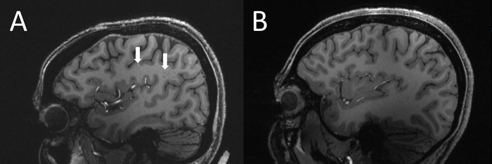
Исследователи впервые использовали МРТ сверхвысокого разрешения (томограф 7 Тесла) для сравнения структурных микрососудистых изменений при различных типах мигрени. Исследование показало, что у людей, сталкивавшихся с этим состоянием, увеличены периваскулярные пространства — заполненные жидкостью структуры, окружающие сосуды головного мозга. Ученые изучили данные томограмм людей с хронической мигренью, с эпизодической мигренью без ауры и контрольной группы «здоровых» людей того же возраста. Всем участникам на момент проведения исследования было от 25 до 60 лет, при этом никто не страдал явными когнитивными нарушениями или опухолью головного мозга. Увеличенные периваскулярные пространства у пациента с мигренью (слева) по сравнению с контрольной группой (справа). Изображение: RSNA, Wilson Xu Статистический анализ показал, что количество расширенных периваскулярных пространств в полуовальном центре было значительно выше у пациентов с мигренью по сравнению с контрольной группой. Исследовате

Исследователи впервые использовали МРТ сверхвысокого разрешения (томограф 7 Тесла) для сравнения структурных микрососудистых изменений при различных типах мигрени. Исследование показало, что у людей, сталкивавшихся с этим состоянием, увеличены периваскулярные пространства — заполненные жидкостью структуры, окружающие сосуды головного мозга.

Ученые изучили данные томограмм людей с хронической мигренью, с эпизодической мигренью без ауры и контрольной группы «здоровых» людей того же возраста. Всем участникам на момент проведения исследования было от 25 до 60 лет, при этом никто не страдал явными когнитивными нарушениями или опухолью головного мозга.

-2

Увеличенные периваскулярные пространства у пациента с мигренью (слева) по сравнению с контрольной группой (справа). Изображение: RSNA, Wilson Xu

Статистический анализ показал, что количество расширенных периваскулярных пространств в полуовальном центре было значительно выше у пациентов с мигренью по сравнению с контрольной группой. Исследователи отмечают, что расширенные периваскулярные пространства могут быть признаком заболевания мелких сосудов.

Периваскулярные пространства являются частью системы выведения жидкости в головном мозге. Изучение того, как они способствуют возникновению мигрени, поможет нам лучше понять сложности возникновения мигрени.

Уилсон Сюй, исследователь из университета Нью-Йорка и соавтор работы

Исследователи предполагают, что значительные различия в периваскулярных пространствах у пациентов с мигренью и контрольной группы могут свидетельствовать о нарушении работы лимфатических узлов в головном мозге. Хотя пока неизвестно, являются ли такие изменения причиной мигрени или ее следствием, будущие исследования помогут установить это и разработать эффективное решение для предотвращения мигреней, считают ученые.

Читать далее:

Скоро на Землю обрушится магнитная буря

Раскрыт истинный смысл мумификации: все это время ученые ошибались

Названа главная опасность лунной миссии «Артемида»