Найти в Дзене

Вариант РМЖ на этапе диагностики

Внутритканевая разметка, установка иглы-гарпун. Выполняется под УЗИ или рентгеном. В данном случае - под УЗИ. Необходима при непальпируемых опухолях для хирурга. Диагноз РМЖ Т1N0M0, метка устанавливается под местным обезболиванием. Кому ставили, было страшно? Как думаете, соно-рентгенологическая картина опухоли зависит от её биологического подтипа (ИГХ)? Каждый биологический подтип: Люминальный А, Люминальный В, Her позитивный вариант, триждынегативный имеют свои особенности соно- рентгенологической картины, что позволяет уже на этапе диагностики предположить вариант рака РМЖ. Данный канал носит ознакомительный характер из практики доктора или врачей маммологической клиники ФГБУ РНЦРР. Канал не призывает к оказанию каких-либо услуг или хирургическому вмешательству. ОБЯЗАТЕЛЬНА КОНСУЛЬТАЦИЯ СО СПЕЦИАЛИСТАМИ. Информация взята с сайта РНЦРР и Телеграм-канала Ходорович Ольги Сергеевны Мои странички в социальных сетях: ВКонтакте: https://vk.com/dr.khodorovich Telegram: https://t.me/khodorov

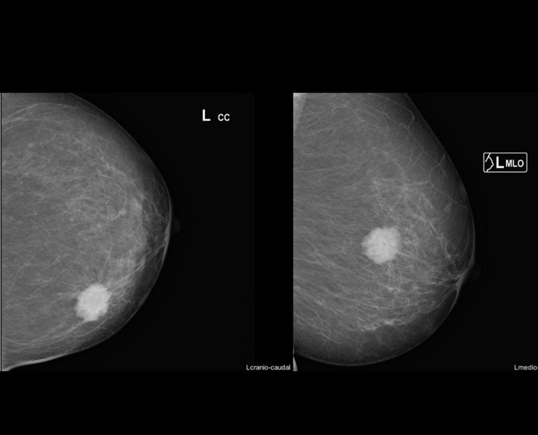
Внутритканевая разметка, установка иглы-гарпун. Выполняется под УЗИ или рентгеном. В данном случае - под УЗИ.

Необходима при непальпируемых опухолях для хирурга. Диагноз РМЖ Т1N0M0, метка устанавливается под местным обезболиванием.

-2

Кому ставили, было страшно? Как думаете, соно-рентгенологическая картина опухоли зависит от её биологического подтипа (ИГХ)?

-3

Каждый биологический подтип: Люминальный А, Люминальный В, Her позитивный вариант, триждынегативный имеют свои особенности соно- рентгенологической картины, что позволяет уже на этапе диагностики предположить вариант рака РМЖ.

-4
Данный канал носит ознакомительный характер из практики доктора или врачей маммологической клиники ФГБУ РНЦРР. Канал не призывает к оказанию каких-либо услуг или хирургическому вмешательству.
ОБЯЗАТЕЛЬНА КОНСУЛЬТАЦИЯ СО СПЕЦИАЛИСТАМИ.

Информация взята с сайта РНЦРР и Телеграм-канала Ходорович Ольги Сергеевны

Мои странички в социальных сетях:

ВКонтакте: https://vk.com/dr.khodorovich
Telegram: https://t.me/khodorovich
Одноклассники: https://ok.ru/dr.khodorovich