Найти в Дзене
IVF LIVE

Топ-10 интересных фактов о переносе эмбрионов под контролем УЗИ

Цель успешного переноса эмбрионов - доставить эмбрион(ы) в матку, не повредив их. Исторически перенос эмбрионов осуществлялся с помощью специального катетера, который продвигался до контакта с верхней частью полости матки (дном матки), затем катетер выводился на 5-10 мм перед выбросом эмбрионов. С использованием ультразвука стало очевидно, что при такой «слепой» технике катетер плохо устанавливается в 20% случаев. За последние два десятилетия эта техника была в значительной степени усовершенствована ультразвуковым наведением. Вот несколько интересных фактов о переносе эмбрионов с ультразвуковым наведением: 1. Ультразвуковое наведение обеспечивает правильное расположение катетера в полости матки. Группа из Австралии (Woolcott and Stanger, 1997) показала, что при контакте без ультразвукового наведения катетер находился под слизистой оболочкой матки (субэндометрий) 24,7%, касался дна 17,4% и находился в просвете маточной трубы 7,4% времени! 2. Когда катетер касается дна матки, он вызыва
Фото: inviaferility.com
Фото: inviaferility.com

Цель успешного переноса эмбрионов - доставить эмбрион(ы) в матку, не повредив их. Исторически перенос эмбрионов осуществлялся с помощью специального катетера, который продвигался до контакта с верхней частью полости матки (дном матки), затем катетер выводился на 5-10 мм перед выбросом эмбрионов. С использованием ультразвука стало очевидно, что при такой «слепой» технике катетер плохо устанавливается в 20% случаев. За последние два десятилетия эта техника была в значительной степени усовершенствована ультразвуковым наведением.

Вот несколько интересных фактов о переносе эмбрионов с ультразвуковым наведением:

1. Ультразвуковое наведение обеспечивает правильное расположение катетера в полости матки. Группа из Австралии (Woolcott and Stanger, 1997) показала, что при контакте без ультразвукового наведения катетер находился под слизистой оболочкой матки (субэндометрий) 24,7%, касался дна 17,4% и находился в просвете маточной трубы 7,4% времени!

2. Когда катетер касается дна матки, он вызывает сокращения матки, что может привести к отторжению эмбрионов. Кроме того, травма (кровь на кончике катетера после переноса эмбрионов) приводит к снижению частоты наступления беременности. С помощью УЗИ можно легко избежать касания дна матки.

3. В случае удлиненного цервикального канала можно быть уверенным, что катетер находится за пределами внутреннего отверстия. У некоторых пациенток (особенно у тех, кому удаляли фибромиомы) цервикальный канал длиннее, чем обычно. При контакте без ультразвукового наведения не всегда можно убедиться, что кончик катетера вышел за пределы внутреннего отверстия шейки матки и достиг полости матки.

4. Некоторые пациентки после кесарева сечения могут иметь дефект в нижнем сегменте матки в месте разреза при кесаревом сечении. Катетер при переносе эмбрионов может зависнуть или неправильно направиться в этот «карман», в результате чего тест на беременность будет отрицательным.

5. Прямая визуализация катетера в области маточно-цервикального угла может облегчить его введение. Когда угол четко визуализирован, врач может придать катетеру соответствующий изгиб, который поможет пройти по каналу, особенно если матка расположена под большим углом (сильно перегнута или ретрофлексирована). Это помогает увеличить шансы на то, что перенос будет «легким» и, как следствие, повысится частота наступления беременности.

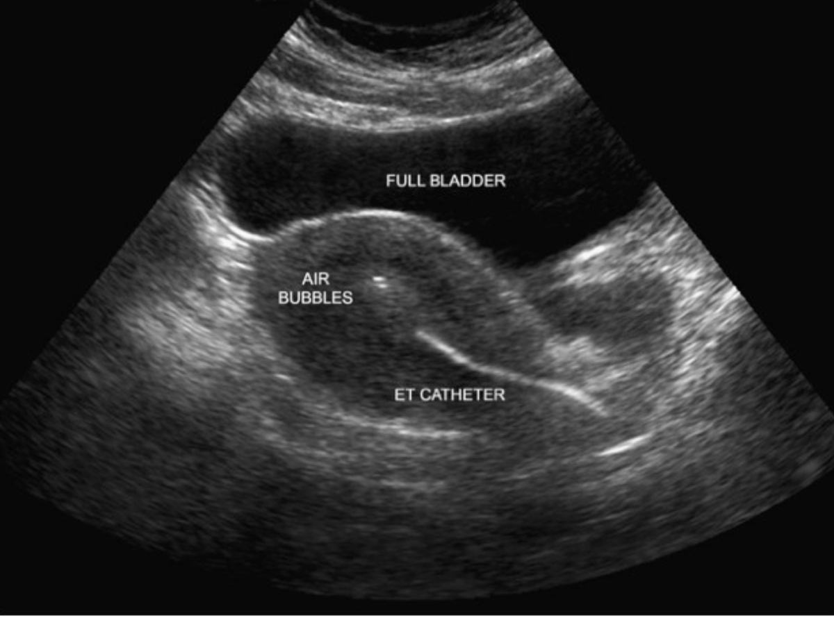
6. Полный мочевой пузырь действует как «ультразвуковое окно» и облегчает визуализацию с помощью трансабдоминального зонда. Он также помогает выпрямить маточно-цервикальный угол и облегчить введение катетера, особенно при сильно антевертированной матке.

7. Пациенткам нравится визуализация последнего этапа, когда они видят «вспышку» от воздуха и жидкости, окружающей эмбрион(ы). Это действительно здорово - визуализировать момент, когда вы (теоретически) беременны!

8. Одним из недостатков УЗИ является неудобство, которое испытывают пациенты, когда им приходится ждать с полным мочевым пузырем.

9. Самым важным фактом является то, что частота наступления беременности выше при проведении переноса под контролем УЗИ! Это было подтверждено двумя мета-анализами и Кокрановским обзором 2010 года.

10. Однако некоторые программы сообщают об отличных показателях беременности при использовании техники переноса без контроля УЗИ (обычно они проводят «пробный» перенос, чтобы составить карту цервикального канала, и эмбрионы переносятся без касания кончиком катетера дна матки). Использование такого подхода также вполне оправдана.

Оригинальная статья