Добавить в корзинуПозвонить
Найти в Дзене
Все о КТ и МРТ

МРТ заключение при глиоме головного мозга

Опухоли головного мозга бывают доброкачественными и злокачественными. Злокачественные опухоли делятся на первичные, которые начали рости в головном мозге, и вторичные, образовавшиеся от метастазов рака других органов. Глиомы или нейроэпителиальные опухоли головного мозга - это первичные новообразования, которые происходят из клеток глии. Они могут возникать в различных частях головного и спинного мозга. В медицинской классификации болезней глиомы также делятся в зависимости от типа клеток, из которых они образуются, на астроцитомы, олигодендроглиомы, эпендимомы. Ещё глиома может иметь различную степень злокачественности - от первой степени, когда глиома доброкачественная, до четвертой степени, когда она уже является злокачественным новообразованием (глиобластома). Глиобластома - одна из самых агрессивных форм опухоли, которая может быть у человека. Она растет с большой скоростью, активно метастазирует и сложно поддается лечению. Если взять все онкозаболевания, по статистике глиома - эт
Оглавление

Опухоли головного мозга бывают доброкачественными и злокачественными. Злокачественные опухоли делятся на первичные, которые начали рости в головном мозге, и вторичные, образовавшиеся от метастазов рака других органов. Глиомы или нейроэпителиальные опухоли головного мозга - это первичные новообразования, которые происходят из клеток глии. Они могут возникать в различных частях головного и спинного мозга. В медицинской классификации болезней глиомы также делятся в зависимости от типа клеток, из которых они образуются, на астроцитомы, олигодендроглиомы, эпендимомы.

Ещё глиома может иметь различную степень злокачественности - от первой степени, когда глиома доброкачественная, до четвертой степени, когда она уже является злокачественным новообразованием (глиобластома). Глиобластома - одна из самых агрессивных форм опухоли, которая может быть у человека. Она растет с большой скоростью, активно метастазирует и сложно поддается лечению. Если взять все онкозаболевания, по статистике глиома - это довольно редкое заболевание. Но это самая частая форма опухоли в голове, а нейроэпителиальные опухоли головного мозга составляет 60% всех опухолевых новообразований головы. 

СИМПТОМЫ ГЛИОМЫ

Главной особенностью всех опухолей головного мозга является тот факт, что они на ранней стадии не дают никакой симптоматики. Нейроневрологи называют “условно молчащими” лобные и височные области, где глиома может расти бессимптомно. Новообразования, развивающиеся ближе к коре головного мозга, чаще и раньше начинают давать знать о себе, но и здесь, зачастую, они проявляют себя общими симптомами, которые можно отнести к 1000 других заболеваний, - например, головокружение, усталость, перепады в настроении. По статистике нейроэпителиальные опухоли у взрослых располагается преимущественно супратенториально, реже встречается глиома ствола мозга. Для детского возраста более типичны поражения задней черепной ямки. Глиома у ребенка может проявляться:

  • головной болью
  • судорогами
  • нарушением зрения, ощущением вспышек света в глазах.

Появление глиомы вызвано каким-то дефектом генетического характера, который произошел в глиальных клетках. Эти дефектные клетки начинают быстро размножаться и разрушать окружающие клетки мозга. 

ДИАГНОСТИКА ГЛИОМЫ

Диагностику глиомы проводят с помощью МРТ головного мозга с контрастированием на томографе мощностью не менее 1,5 Тесла. Магнитно-резонансная томография является оптимальным способом обследования всех тканей головы. В неврологической практике этот метод получил широкое распространение благодаря возможности одновременно визуализировать воспалительные, опухолевые и дегенеративные процессы в структурах головного мозга.

При подозрении на глиому очень важно сделать МРТ головы именно с контрастом. По тому как клетки мозга будут накапливать контрастное вещество, рентгенолог может сразу сказать, где локализация новообразования, есть ли метастазы, является ли опухоль злокачественной или доброкачественной, есть ли признаки диффузной глиомы или некроза. Магнитно-резонансное исследование, будучи неионизирующим видом диагностики в отличие от рентгена и КТ, не может никаким образом спровоцировать рост раковых клеток. Магнитное поле томографа не оказывает никакого излучения или вредного воздействия на организм человека. Поэтому МРТ головного мозга признано безвредным методом обследования, и данной диагностике отдается предпочтение при исследовании детей, беременных, а также при необходимости многократных повторных обследований.

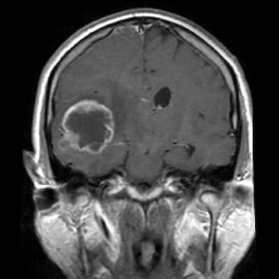
ПРИЗНАКИ ГЛИОМЫ НА МРТ

Глиобластома на МРТ
Глиобластома на МРТ
Глиобластома на МРТ
Глиобластома на МРТ

Глиома на МРТ
Глиома на МРТ

КАК ПРОХОДИТ МРТ ГОЛОВНОГО МОЗГА ПРИ ОПУХОЛИ

МРТ работает по принципу сканера, проводя детальный скрининг исследуемой области. Делает она это за счет магнитно-резонансного эффекта. В структуре тканей человека есть молекулы воды с атомами водорода. Атомы водорода, попадая в магнитное поле томографа, излучают электросигналы, которые фиксируют датчики МРТ аппарата и передают их на компьютер. Компьютерная установка  обрабатывает все данные и выстраивает трехмерное изображение отсканированной области в черно-белом формате. Далее врач-рентгенолог начинает оценивать и описывать полученные томограммы, отмечая в своем заключении все выявленные патологии и аномалии. Поскольку содержание атомов водорода в структурах мозга очень высоко, с помощью МРТ головного мозга можно прекрасным образом визуализировать белое и серое вещество, оценить состояние борозд, извилин, гипофиза, сосудистой системы, нервной и костной ткани.

Чтобы МРТ снимки получились качественными и результативными, в течение томографической процедуры пациент должен лежать неподвижно. Любое движение обследуемого может смазать изображения, а чем четче они будут, тем точнее будет сама диагностика. Тогда врач по томографическим снимкам с уверенностью сможет дифференцировать глиому от других опухолей и заболеваний головного мозга и определить её добро или злокачественность.

-5

Результаты МРТ головы - это серия послойных сканов головного мозга, расшифровка их профессиональным врачом-диагностом и письменное диагностическое заключение. В этих данных разобраться пациенту самостоятельно, ещё и без медицинского образования, будет сложно. Правильно читать и интерпретировать томограммы сможет только доктор. Поэтому после МРТ исследования головного мозга человек обязательно должен записаться на прием к своему лечащему врачу и обсудить итоги томографии.