Добавить в корзинуПозвонить
Найти в Дзене

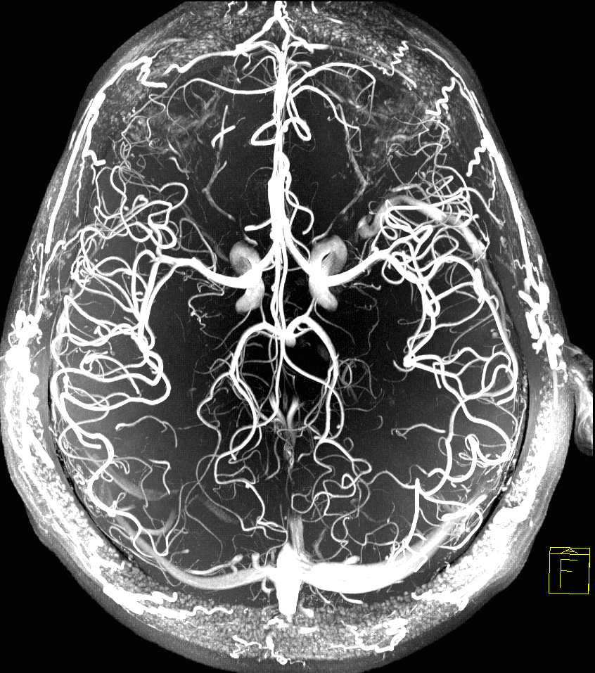
МРТ или КТ сосудов

МРТ сосудов головного мозга и КТ-ангиография сосудов головного мозга - это два очень информативных метода обследования сосудистой системы головного мозга. Принцип получения изображений при магнитно-резонансной томографии строится на эффекте ядерного магнитного резонанса, то есть колебаний атомов водорода в магнитном поле томографа. Томограммы при КТ сосудов головного мозга получаются за счет рентгенологического облучения. МРТ сосудов относится к очень щадящим и безболезненным формам диагностики. Для исследования сосудистого русла не делают никаких проколов и не вводят никакого вредного или вызывающего аллергическую реакцию состава. Компьютерная томография -более опасный для здоровья пациента метод диагностики, но его информативность в некоторых случаях выше магнитно-резонансной ангиографии. Когда МРТ сосудов головного мозга лучше, чем КТ сосудов? Информативные преимущества МРТ сосудов головного мозга сопоставимы с традиционной ангиографией и КТ-ангиографией, но в отличие от них, в ход
Оглавление

МРТ сосудов головного мозга и КТ-ангиография сосудов головного мозга - это два очень информативных метода обследования сосудистой системы головного мозга. Принцип получения изображений при магнитно-резонансной томографии строится на эффекте ядерного магнитного резонанса, то есть колебаний атомов водорода в магнитном поле томографа. Томограммы при КТ сосудов головного мозга получаются за счет рентгенологического облучения. МРТ сосудов относится к очень щадящим и безболезненным формам диагностики. Для исследования сосудистого русла не делают никаких проколов и не вводят никакого вредного или вызывающего аллергическую реакцию состава. Компьютерная томография -более опасный для здоровья пациента метод диагностики, но его информативность в некоторых случаях выше магнитно-резонансной ангиографии.

Когда МРТ сосудов головного мозга лучше, чем КТ сосудов?

Информативные преимущества МРТ сосудов головного мозга сопоставимы с традиционной ангиографией и КТ-ангиографией, но в отличие от них, в ходе этой процедуры не используют ионизирующее излучение или нефротоксичные йодсодержащие контрасты. При МРТ, в отличие от КТ, изображение кровеносных сосудов получается без обязательного введения контраста.

У каждого диагностического метода существуют преимущества и недостатки. К сильным сторонам МРТ сосудов рентгенологи относят следующие возможности:

  • При сканировании врачи могут видеть и ткань, и окружающие сосуды. Это дает возможность специалистам одновременно провести корреляцию отклонений кровотока с патологией мягких тканей.
  • Отсутствие вредных воздействий на организм человека, поскольку нет ионизирующего излучения и токсичного контрастного препарата.
-2

Недостатками МРТ исследования сосудов является низкая чувствительность к слабому потоку или потеря сигнала. Это может привести к ложному диагнозу стеноза или окклюзии. В отличие от КТ сосудов головного мозга и УЗИ, у МР-томографии сосудов достаточно долгое (20-30 минут) время сканирования, что не позволяет обследовать больных в тяжелом состоянии и детей младшего возраста, которые не могут лежать в неподвижном состоянии.

Ограничения МРТ сосудов головы

Есть ряд пациентов, которым будет диагностика на МРТ противопоказана.

Если у человека есть металл в теле, это может стать возможным ограничением для МРТ. Томограф - это большой магнит, чье магнитное поле нагревает или передвигает металл, что может привести к ожогам и кровотечению.

Магнит также имеет свойство выводить из строя электронные аппараты и приборы. Поэтому лицам, у которых вшиты в организм кардиостимуляторы, ушные импланты и другие устройства жизнеобеспечения, следует воздержаться от МР-сканирования.

Если проводится МРТ сосудов головного мозга с контрастом, дополнительными ограничениями станут острая почечная недостаточность и беременность на любом сроке.

-3

Когда КТ-ангиография сосудов головного мозга лучше, чем МРТ?

КТ-ангиография сосудов головного мозга за один раз может отсканировать сосуды половины человеческого тела. У МРТ аппарата очень узкая зональность, и есть ограничение по протяженности объема сканирования. Томограф делает отдельно обследование сосудов головы, затем шеи, затем позвоночника или брюшной полости, то есть магнитно-резонансное исследование носит весьма фокусный характер. КТ сосудов головного мозга будет более информативным обследованием при стенозе, атеросклерозе и в момент инсульта.

Основным диагностическим недостатком КТ сосудов головы является лучевая нагрузка, которая доходит до 10 МзВ, и необходимость всегда применять контрастирование на базе йода. Это делает этот вид ангиографии более дорогим, чем МРТ сосудов головного мозга, и более опасным для здоровья. Для КТ сосудов головного мозга наличие металла или электронных имплантов в теле не будет ограничением, однако данная диагностика из-за лучевой нагрузки запрещена беременным женщинам и нежелательна для маленьких детей.