Найти в Дзене
Юлия Селютина

Как железосодержащие препараты влияют на зубы?

"Ржавчина" на зубах. Доктор, откуда, как, что делать??? Существует миф о том, что от приема препаратов железа у детей "сыпятся" зубы. Ну, миф на то и миф - это совершенно не так. Хотя зубы безусловно страдают. Дело в том, что при железодефицитной анемии детям назначают препараты типа: • Актиферрин; • Тардиферрин; • Мальтофер. Их "побочный" эффект - пигментированный налет рыже-оранжево-коричневого цвета. Наглядный пример на фото. В домашних условиях счистить его нереально. Родители часто пренебрегают профессиональной гигиеной, откладывают до окончания курса препарата и под налетом образуется кариес. Вот он-то как раз и разрушает зубы! Как будем действовать? • Если курс приема препаратов железа короткий (менее 3х месяцев), то с профгигиеной лучше повременить и провести ее после окончания; • Если же курс длительный (более 3х месяцев), то каждые 2,5-3 месяца приходите на чистку и профосмотр. Как вы уже поняли, само железо в составе препарата не влияет на состояние эмали зубов. А вот с

"Ржавчина" на зубах.

Доктор, откуда, как, что делать???

Существует миф о том, что от приема препаратов железа у детей "сыпятся" зубы.

Ну, миф на то и миф - это совершенно не так.

Хотя зубы безусловно страдают.

Дело в том, что при железодефицитной анемии детям назначают препараты типа:

• Актиферрин;

• Тардиферрин;

• Мальтофер.

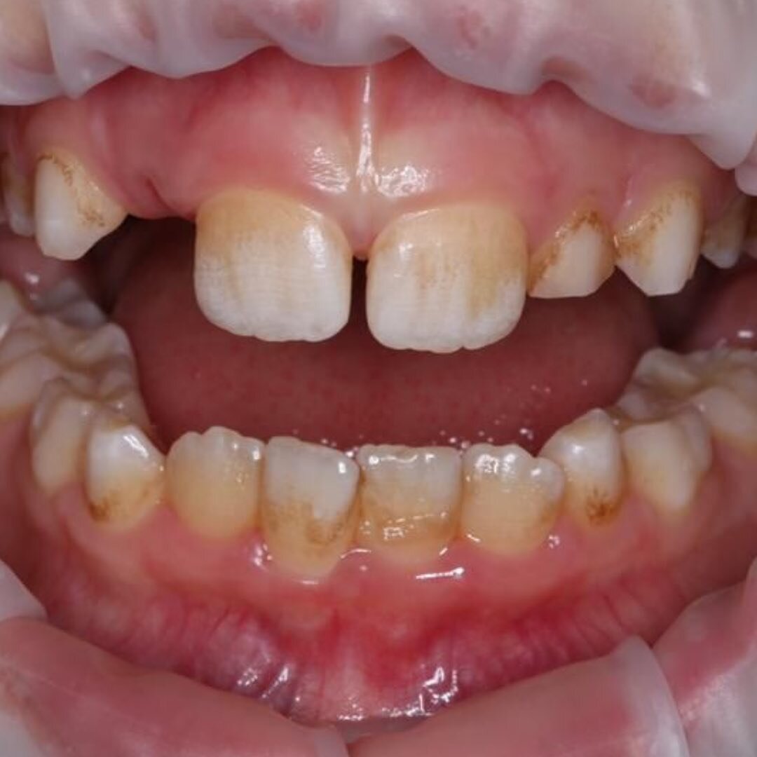
Их "побочный" эффект - пигментированный налет рыже-оранжево-коричневого цвета. Наглядный пример на фото.

В домашних условиях счистить его нереально.

Родители часто пренебрегают профессиональной гигиеной, откладывают до окончания курса препарата и под налетом образуется кариес.

Вот он-то как раз и разрушает зубы!

Как будем действовать?

• Если курс приема препаратов железа короткий (менее 3х месяцев), то с профгигиеной лучше повременить и провести ее после окончания;

• Если же курс длительный (более 3х месяцев), то каждые 2,5-3 месяца приходите на чистку и профосмотр.

Как вы уже поняли, само железо в составе препарата не влияет на состояние эмали зубов.

А вот сахар в составе сиропов как раз очень портит детские зубки.

И чем дольше курс, тем выше риск развития кариеса.

✔Совет: после приема препарата железа необходимо обязательно прополоскать полость рта простой водой и лучше почистить зубы.

Еще больше о видах налета и способах борьбы с ним, а также о здоровье детских зубов, правильном уходе и профилактике вы можете узнать на моем курсе для родителей: https://webinar.selyutina.ru/parents.

ИМЕЮТСЯ ПРОТИВОПОКАЗАНИЯ. НЕОБХОДИМА КОНСУЛЬТАЦИЯ СПЕЦИАЛИСТА.

Вот так выглядит налет после приема препаратов
Вот так выглядит налет после приема препаратов