Добавить в корзинуПозвонить
Найти в Дзене

Лейкоз. Симптомы у детей

Лейкоз у детей – это один из системных гемобластозов, сопровождающийся значительным нарушением костномозгового кроветворения, когда здоровые клетки крови замещаются на незрелые бластные элементы лейкоцитарного ряда. Рак крови у детей чаще протекает в острой форме и тяжелее подается лечебным мероприятиям. Распространенность лейкоза крови составляет 4—5 случаев на каждые 100 тысяч малышей. Чтобы своевременно диагностировать состояние рака крови у ребенка, необходимо обращать внимание на все жалобы и симптомы у детей. Особенно в возрасте 2.5—5 лет. Именно на этот период приходится больше всего случаев онкопоражения крови. Симптомы и формы детского лейкоза Лейкоз у детей может возникать в нескольких формах. Каждая из которых, имеет свои особенности и признаки: Оценить предъявляемые родителями малыша жалобы, установить форму лейкоза и подобрать оптимальные лечебные мероприятия под силу только высококвалифицированному специалисту. Поэтому затягивать с проведением консультации гематолога–онко
Оглавление

Лейкоз у детей – это один из системных гемобластозов, сопровождающийся значительным нарушением костномозгового кроветворения, когда здоровые клетки крови замещаются на незрелые бластные элементы лейкоцитарного ряда. Рак крови у детей чаще протекает в острой форме и тяжелее подается лечебным мероприятиям. Распространенность лейкоза крови составляет 4—5 случаев на каждые 100 тысяч малышей. Чтобы своевременно диагностировать состояние рака крови у ребенка, необходимо обращать внимание на все жалобы и симптомы у детей. Особенно в возрасте 2.5—5 лет. Именно на этот период приходится больше всего случаев онкопоражения крови.

Симптомы и формы детского лейкоза

Лейкоз у детей может возникать в нескольких формах. Каждая из которых, имеет свои особенности и признаки:

  • При острой форме раковый процесс возникает внезапно. Состояние характеризуется специалистами, как тяжелое. Малыш, к огромному сожалению, не проживает и полугода от момента постановки диагноза. Угнетение красных клеток крови приводит к тому, что в русло поступают только белые элементы — лейкоциты. Основные симптомы рака крови у детей:
  • уменьшающийся аппетит;
  • постепенная потеря веса;
  • выраженная слабость;
  • носовые кровотечения;
  • беспричинные синяки на покровных тканях;
  • частые интенсивные головные боли;
  • значительное увеличение многих групп лимфоузлов;
  • постоянная капризность и плаксивость;
  • нарастание одышки;
  • существенная тахикардия.
  • При хронической форме лейкоза симптомы у детей нарастают постепенно. Чаще всего подобный рак крови у детей диагностируется случайно — при проведении обследований по иным поводам. У малышей хронический вариант лейкоза не превышает 3—5% от общего количества случаев болезни. Из-за нарушения состава крови начинает страдать общий иммунитет, итогом чего становится частое появление симптомов вирусных и бактериальных заболеваний. Периоды обострения, протекающие с подъемом температуры, интоксикацией, слабостью, потливостью сменяются ремиссией, когда симптомы полностью исчезают. Однако, сам по себе лейкоз у детей не исчезает, обязательно требуется комплексное его лечение.
Оценить предъявляемые родителями малыша жалобы, установить форму лейкоза и подобрать оптимальные лечебные мероприятия под силу только высококвалифицированному специалисту. Поэтому затягивать с проведением консультации гематолога–онколога не рекомендуется.

Общие симптомы детского лейкоза

-2

Поскольку причины лейкоза у детей кроются в поражении раком ростков спинного мозга, то патологический процесс отражается на всех элементах крови — на одних больше, на других меньше. После выхода в кровяное русло измененных раком элементов, они разносятся по всему организму малыша. Основные симптомы лейкемии у детей:

  • частые кровотечения — различной интенсивности, локализации, продолжительности;
  • из-за пониженного гемоглобина будут появляться симптомы анемии у детей — чрезмерная сухость кожи, мышечные боли, слабость, ломкость волос и ногтей, повышенная сонливость;
  • значительно страдают иммунные барьеры — дети чаще болеют простудными болезнями, у них обостряют хронические заболевания;
  • дискомфорт и болезненность в структурах опорно-двигательной системы — мигрирующие боли появляются то в одной группе суставов, то в другой, иногда малыш даже утрачивает способность передвигаться;
  • увеличиваются большинство подгрупп лимфоузлов — именно они накапливают в себе пораженные раком клетки, на фоне чего происходит увеличение лимфоструктур, дети испытывают из-за этого дискомфорт и локальные боли;
  • атаке раковых клеток подвергаются и печень с селезенкой — они также увеличиваются в размерах, что доставляет малышу дополнительные боли.
Заметив у своего ребенка один либо несколько вышеперечисленных признаков лейкемии, родителям рекомендуется незамедлительно посетить педиатра, который и направит малыша на лабораторную диагностику.

Ранние симптомы детского лейкоза

Лейкоз у детей на раннем этапе своего формирования может никоим образом себя не проявлять. Однако, при внимательном отношении к самочувствию малыша, можно отметить появление следующих настораживающих симптомов:

  • быстрая утомляемость — даже обычнее для малыша игры приводят к одышке и потливости, капризности;
  • все чаще беспокоят головные боли — локального либо разлитого характера;
  • мигрирующий дискомфорт в суставах — нарастающий после физической нагрузки;
  • колебание параметров температуры — в вечерние часы часто наблюдается субфебрилитет, с повышением до 37.2—37.5 градусов;
  • склонность к появлению беспричинных кровоизлияний, синяков, кровотечений;
  • при ощупывании живота у детей выявляется увеличение размеров печени и селезенки;
  • малейшие царапины и ссадины сопровождаются длительными кровотечениями.

Помимо вышеперечисленных симптомов, лейкозы у детей сопровождаются диспепсическими расстройствами — ребенок отказывается от ранее им любимой пищи, у него часто появляется тошнота, позывы на рвоту. При лейкозе у детей причины подобных расстройств кроются в значительном ослаблении иммунных барьеров, и патогенные микроорганизмы поражают кишечник. Процессы пищеварения начинают страдать все сильнее. Такой синдромокомплекс более характерен для острой формы лейкоза.

-3

Лейкемия у детей при хронической форме протекает несколько иначе. Первые признаки появляются гораздо позже. Выражены не столь ярко. Обнаружение отклонений в анализе крови становится неприятным сюрпризом профилактического медицинского осмотра малыша.

Симптомы острого детского лейкоза

Острый лейкоз у детей, как показывают наблюдения гематологов-онкологов, возникает и развивается стремительно. Количество белых клеток крови в русле малышей катастрофически нарастает, что негативно отражается на самочувствии детей.

Ребенок начинает жаловаться на то, что у него болит голова, его тошнит, имеется выраженная слабость. На протяжении всего дня, особенно в часы подготовки ко сну, у малыша повышается температура — практически каждый вечер до 37.5—37.9 градусов. При этом катаральных проявлений у детей — покраснения горла, насморка, кашля, не имеется.

При осмотре малыша, к примеру, в момент купания, отмечается появление подозрительных гематом и синяков. Такой признак обязательно должен настораживать родителей, если малыш не падал и не ударялся при игре.

Признаки рака крови у детей могут выражаться в частых обострениях хронических болезней либо тяжелом, продолжительном течении острых заболеваний – ангин, фарингитов, бронхитов, пневмонии. Они с трудом поддаются лечению, приходится долгое время принимать лекарственные средства, еще более подрывая защитные силы детского организма.

На фоне перенасыщения русла крови белыми клетками – лейкоцитами, стремительно увеличиваются в размерах лимфоузлы. Первыми поражаются подмышечные, паховые, подключичные. Они становятся болезненными, доставляют малышу дополнительные страдания. У детей симптомы лейкоза в острой форме развиваются стремительно — быстро увеличиваются печень и селезенка. Они начинают выступать из-под края реберной дуги.

Рак крови у детей можно заподозрить по продолжительным, порою массивным, кровотечениям – носовым, ректальным, желудочным. Уже находясь в стационаре, родители детей узнают о страшном диагнозе рака.

Симптомы хронического детского лейкоза

Симптомы лейкоза у детей при хронической форме рака можно условно подразделить на несколько этапов. Так, на начальной стадии своего формирования, рак может никоим образом не отражаться на самочувствии малыша — он по-прежнему хорошо ест, много играет, спит как обычно. Однако, у малыша чаще появляются ОРЗ, риниты, ангины. В анализе крове может присутствовать легкая анемия, лейкоцитоз, увеличение СОЭ. Что объясняется специалистом перенесенными простудными болезнями.

Признаки лейкоза у детей в развернутой стадии носят более яркий, специфический характер. Они вполне сопоставимы с таковыми при острой форме лейкемии:

  • увеличение лимфоструктур;
  • изменение размеров печени, селезенки;
  • стойкий субфебрилитет;
  • болезненность и дискомфорт в животе — чаще по подреберьям;
  • мигрирующие суставные боли;
  • ухудшение аппетита, вплоть до полного отказа малыша от еды;
  • нарастающая потеря веса у ребенка;
  • одышка и тахикардия;
  • нарушение сна;
  • частые носовые кровотечения.
-4

При терминальной стадии все вышеперечисленные симптомы рака у детей носят еще более выраженный характер. Они интенсивнее, продолжительнее, тяжелее — кроха буквально «сгорает» на руках у родителей. При терминальной стадии лейкоза у детей лечение оказывается безрезультатным и носит, скорее, симптоматическую направленность.

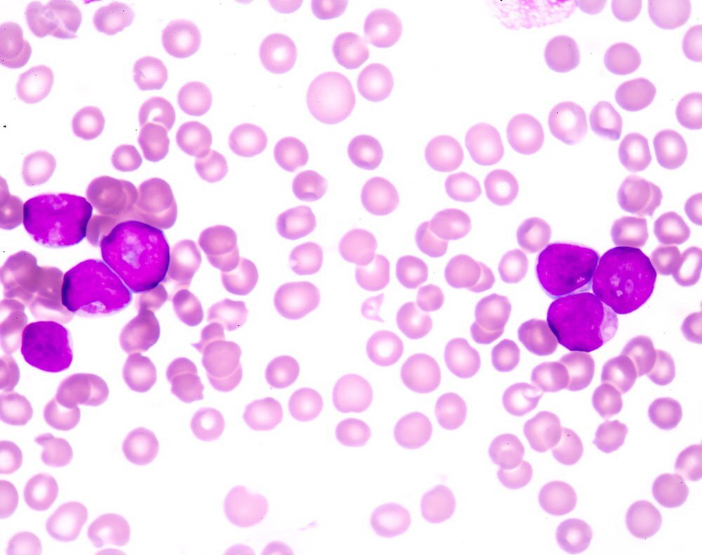
Признаки детского лейкоза по лабораторным анализам

Выслушав жалобы обеспокоенных родителей на ухудшившееся самочувствие малыша, сопоставив симптомы с результатами объективного осмотра, специалистом будут рекомендоваться к проведению первичные лабораторные исследования.

В общем анализе крови при лейкозе у малышей будут наблюдаться отклонения от возрастной нормы по каждому ростку костного мозга. Однако, в первую очередь обнаруживается ускорение СОЭ, снижение параметров гемоглобина и эритроцитов. Анемия, как правило, нормохромная — достигает средних значений. Понижается и концентрация ретикулоцитов — их объем достигает 10—30% от возрастной нормы у детей.

Тогда как объемы лейкоцитов могут, как повышаться — достигая 300*10*9, так и значительно снижаться — до 1.0—1.5 *10*9. Их количество напрямую зависит от формы и стадии лейкоза. Страдает и количество тромбоцитов – их отмечается намного меньше того объема, что соответствует возрасту детей. Поэтом у малышей и страдает кровесвертываемость – малейшая ссадина заканчивается обильной кровопотерей.

В биохимическом анализе также будут наблюдаться патологические отклонения. К примеру, значительно повышается концентрация печеночных трансаминаз и креатинина, мочевины и билирубина. Это свидетельствует о тяжелом поражении гепатоцитов и клубочков почек. Тогда как параметры глюкозы и фибриногена, наоборот, значительно снижаются.

Именно из-за вышеперечисленных лабораторных изменений, отражающих угнетение иммунной системы ребенка, лечение лейкоза у детей представляется затруднительным. И химиотерапия, и лучевая терапия еще более усугубляют ситуацию. Здоровье малыша все больше ухудшается, интоксикация нарастает.

Прогноз при детском лейкозе

Узнав о том, что их малыш страдает лейкозом, многие родители впадают в панику — как лечиться, сколько времени может прожить их ребенок. Все эти вопросы тут же задаются онкологу.

Прогноз будет напрямую зависеть от того, какая форма лейкоза диагностирована, его стадия, исходного состояния здоровья малыша, его возраста. При хроническом лейкозе у детей лечебные мероприятия, проведенные в полном объеме и своевременно, намного повышают шансы на переход рака в стадию ремиссии. Прогноз благоприятнее.

Тогда как острый лейкоз, диагностированный на позднем этапе формирования, практически не оставляет шансов на выздоровление. Летальный исход наступает буквально через несколько месяцев после лабораторного подтверждения диагноза. Однако, опускать руки не стоит — достижения медицины на сегодняшний момент позволяют успешно бороться с лейкозом любой его формы и стадии.