Найти в Дзене
Патология просто

Фиброаденома молочной железы: ответы на главные вопросы

Фиброаденома - это доброкачественное новообразование молочной железы. Чаще всего она развивается у молодых девушек, средний возраст на момент выявления составляет 18-30 лет. Клинически фиброаденома проявляется очаговым уплотнением в толще молочной железы. Женщина может обнаружить её сама при пальпации (ощупывании) груди, но часто она выявляется случайно при плановой маммографии. В этой статье я дам ответы на самые частые вопросы пациенток, у которых выявили фиброаденому. Фиброаденома - это рак? Ни в коей мере. По сути своей фиброаденома - это очаговое разрастание желёз и стромы (соединиельной ткани, "каркаса") молочной железы, причём абсолютно доброкачественного характера. В результате образуется узел с чёткими контурами, который легко определяется при пальпации и удаляется с помощью малоинвазивной операции. Какой бы безобидной ни была фиброаденома, в исключительно редких случаях в ней могут встречаться фокусы атипической протоковой гиперплазии (предраковое состояние) или истинной про
Оглавление

Фиброаденома - это доброкачественное новообразование молочной железы. Чаще всего она развивается у молодых девушек, средний возраст на момент выявления составляет 18-30 лет.

Клинически фиброаденома проявляется очаговым уплотнением в толще молочной железы. Женщина может обнаружить её сама при пальпации (ощупывании) груди, но часто она выявляется случайно при плановой маммографии.

В этой статье я дам ответы на самые частые вопросы пациенток, у которых выявили фиброаденому.

Фиброаденома - это рак?

Ни в коей мере. По сути своей фиброаденома - это очаговое разрастание желёз и стромы (соединиельной ткани, "каркаса") молочной железы, причём абсолютно доброкачественного характера. В результате образуется узел с чёткими контурами, который легко определяется при пальпации и удаляется с помощью малоинвазивной операции.

Какой бы безобидной ни была фиброаденома, в исключительно редких случаях в ней могут встречаться фокусы атипической протоковой гиперплазии (предраковое состояние) или истинной протокой карциномы (это уже рак). Чтобы достоверно исключить злокачественный процесс, фиброаденому нужно удалять.

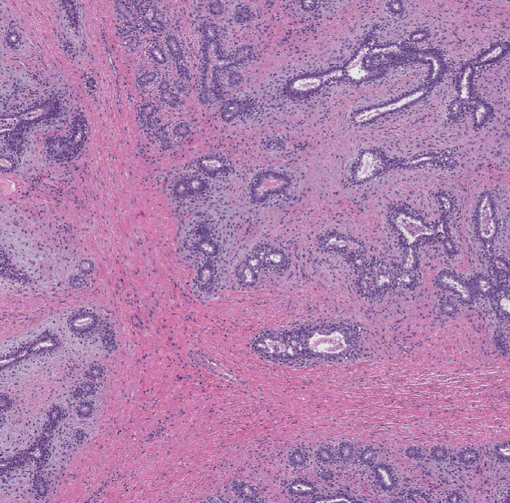
Классическая гистологическая картина фиброаденомы: железистые трубочки ("дырочки") и разросшаяся строма (сероватые участки вокруг трубочек).
Классическая гистологическая картина фиброаденомы: железистые трубочки ("дырочки") и разросшаяся строма (сероватые участки вокруг трубочек).

Может ли фиброаденома болеть?

Как правило, фиброаденома не вызывает каких-либо неприятных ощущений. Болевые ощущения обычно возникают у молодых девушек из-за быстрого роста опухоли. Окружающая ткань молочной железы просто не успевает приспособиться к растущему новообразованию - она растягивается, и вместе с ней растягиваются нервные волокна, вызывая боль.

Тем не менее, если уплотнение в груди сопровождается выраженной болью, это может указывать на агрессивный характер роста. В таком случае нужно как можно быстрее проконсультироваться с маммологом.

Если у меня фиброаденома, мне удалят грудь?

Нет, при фиброаденоме мастэктомию, или полное удаление молочной железы, никогда не делают.

Операция в техническом плане очень простая, не требует особой подготовки, и пациентки после неё очень быстро восстанавливаются. Хирург делает маленький надрез кожи, рассекает жировую клетчатку и доходит до опухоли. Поскольку у фиброаденомы чёткие контуры, она легко вылущивается - для её удаления не нужно делать дополнительных разрезов. Затем операционная рана ушивается, а опухоль отправляется на патологоанатомическое исследование.

-2

Можно ли не удалять фиброаденому?

Если есть 100%-ная уверенность, что опухоль является именно фиброаденомой, то можно ограничиться динамическим наблюдением с периодической маммографией (чтобы контролировать её рост). Чтобы прийти к такому решению, нужно сделать биопсию новообразования для исключения злокачественного роста.

Тем не менее, даже после биопсии нельзя быть полностью уверенным, что в фиброаденоме нет очагов атипического роста - биопсийная игла просто могла попасть не в ту часть опухоли. Более того, иногда под маской фиброаденомы скрывается филлоидная опухоль (она же листовидная опухоль). Это более агрессивное новообразование со злокачественным потенциалом и склонностью к рецидивированию. Поэтому для уверенности следует удалять любую фиброаденому.

Можно ли кормить грудью, если у меня фиброаденома?

Да, можно. Фиброаденома никак не влияет на качество молока и, соответственно, на рост и развитие ребёнка.

При беременности и грудном вскармливании фиброаденома обычно увеличивается в размерах, поскольку она реагирует на повышенный уровень гормонов так же, как и здоровая ткань молочной железы. После прекращения лактации она возвращается к исходным размерам.

Не занимайтесь самолечением. При возникновении любых симптомов обратитесь к своему лечащему врачу. Крепкого вам здоровья!