Найти в Дзене
Сергей Чумаков

Ядерная медицина: на каких явлениях основаны КТ и МРТ?

Когда мы слышим слово "ядерный", то часто представляем себе блоки атомных станций, людей в специальных защитных костюмах или знак радиационной опасности. Но на самом деле, существуют очень много технологий, где принципы ядерной физики помогают людям и для этого не требуется масштабных сооружений или чрезмерной осторожности. Например, это ядерная медицина. Я искренне желаю читателям, реже испытывать на себе процедуры, основанные на использовании радиоактивности или изменении состояния составляющих атома. И не потому, что это может быть вредно, просто методы ядерной медицины чаще применяют в диагностике серьёзных заболеваний. Итак, в основе ядерной медицины лежит известный науке феномен радиоактивности, то есть превращение атомов одного химического элемента в другой, сопровождаемое испусканием частиц и электромагнитного излучения и некоторые другие процессы, связанные с изменением состояния атомных ядер. При этом должен сказать, что радиоактивность в окружающем мире существует повсеместн
Image by Roman Paroubek from Pixabay
Image by Roman Paroubek from Pixabay

Когда мы слышим слово "ядерный", то часто представляем себе блоки атомных станций, людей в специальных защитных костюмах или знак радиационной опасности. Но на самом деле, существуют очень много технологий, где принципы ядерной физики помогают людям и для этого не требуется масштабных сооружений или чрезмерной осторожности. Например, это ядерная медицина.

Я искренне желаю читателям, реже испытывать на себе процедуры, основанные на использовании радиоактивности или изменении состояния составляющих атома. И не потому, что это может быть вредно, просто методы ядерной медицины чаще применяют в диагностике серьёзных заболеваний.

Итак, в основе ядерной медицины лежит известный науке феномен радиоактивности, то есть превращение атомов одного химического элемента в другой, сопровождаемое испусканием частиц и электромагнитного излучения и некоторые другие процессы, связанные с изменением состояния атомных ядер. При этом должен сказать, что радиоактивность в окружающем мире существует повсеместно и без вмешательства человека.

Ядерная медицина имеет в своём арсенале разнообразные способы исследования человеческого организма. Например, в основе метода компьютерной томографии лежит поглощение тканями рентгеновских лучей. Ткани обладают различной плотностью и в зависимости от этого параметра, не одинакокво ослабляют проходящие лучи. Тем самым можно определять особенности структуры внутренних органов. После компьютерной обработки данных получается снимок, по которому устанавливают состояние костей, лёгких, выявляют в последних различные образования. Первый компьютерный томограф появился в 1969 году, а его изобретатель, физик Хаунсфилд, получил за труды Нобелевскую премию.

Image by kalhh from Pixabay
Image by kalhh from Pixabay

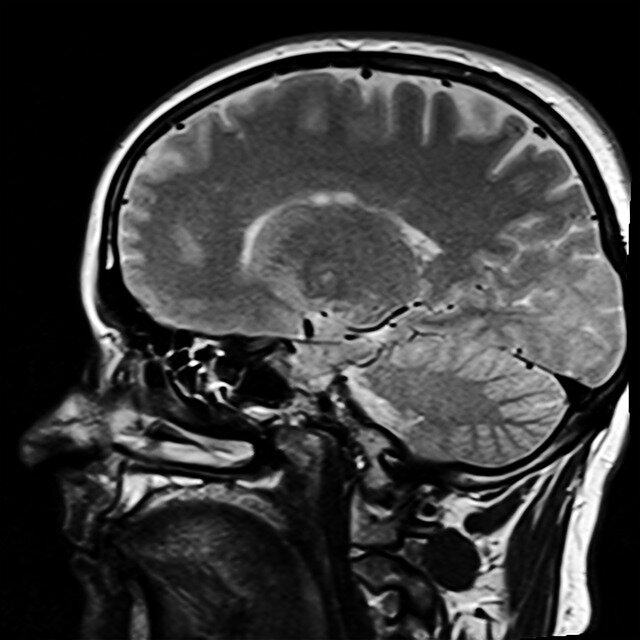
Другой метод, магнитно-резонансная томография, основан на явлении ядерного магнитного резонанса. Это сложный феномен, так что его картину придётся несколько упростить для лучшего понимания.

Ядра атомов некоторых элементов, например водорода, взаимодействуют со сторонним сильным магнитным полем. Сами эти ядра имеют электрический заряд. А электричество и магнетизм всегда связаны, при этом одно порождает другое. Так что ядра атомов водорода фактически являются микроскопическими магнитиками. Говорят, что они обладают магнитным моментом - величиной, характеризующей наличие соответствующего поля у частицы.

Ядра водорода во внешнем магнитном поле способны изменять направление собственного магнитного момента а затем возвращаться в исходное состояние* (в физике этому процессу даже название придумали - релаксация). При этом выделяется энергия, регистрируемая аппаратурой. Так и работает МРТ.

Атомы водорода входят в состав воды, которой много в наших органах, поэтому магнитно-резонансную томографию применяют в том числе для изучения мозга и поиска опухолей. Кстати, до 1987 года метод назывался ядерно-магнитно-резонансной томографией, но затем из-за нарастающей в обществе боязни радиации, термин решили несколько скорректировать. Даже не смотря на то, что в процессе исследования не применяются рентгеновские и гамма-лучи.

*При этом нельзя говорить, что они как-то меняют собственное положение в пространстве, МРТ не нарушает стркутуру вещества.

Было интересно? Посмотрите другие материалы канала и подпишитесь. А ещё я пишу книги про физику и астрономию, можете ознакомиться и совершенно бесплатно скачать одну из них

Уважаемые борцы со всемирным научным заговором и эмоционально несдержанные читатели, ваши комментарии неизбежно удаляются. Даже не тратьте время
Наука
7 млн интересуются