Найти в Дзене
Мама-доктор

Как диагностируется пневмония на рентгенограмме и КТ.

Когда у пациента возникает соответствующая клиническая картина пневмонии (повышение температуры тела, кашель, боли в грудной клетке, одышка), выслушиваются хрипы при аускультации, врач обычно направляет его на рентген лёгких. Но начальной стадии, в первые дни развития пневмонии на рентгене лёгких может не быть характерных изменений. Диагностические возможности рентгена легких ограничены, так как при этом изображение получается в одной проекции. При прогрессировании воспаления лёгких и возникновении одышки, на рентгене, как правило, возникают соответствующие признаки пневмонии. При крупозной пневмонии выявляется снижение прозрачности лёгочной ткани, оно может быть тотальным (поражение всего лёгкого), субтотальным (поражение одной или нескольких долей), сегментарным, когда инфильтрация занимает 1 или несколько сегментов. При очаговой пневмонии на рентгене или КТ определяются очаговые тени размерами от 3 до 15 мм. Гомогенное затемнение выявляется в одном или нескольких сегментах лёгких, ч

Когда у пациента возникает соответствующая клиническая картина пневмонии (повышение температуры тела, кашель, боли в грудной клетке, одышка), выслушиваются хрипы при аускультации, врач обычно направляет его на рентген лёгких.

Но начальной стадии, в первые дни развития пневмонии на рентгене лёгких может не быть характерных изменений. Диагностические возможности рентгена легких ограничены, так как при этом изображение получается в одной проекции.

При прогрессировании воспаления лёгких и возникновении одышки, на рентгене, как правило, возникают соответствующие признаки пневмонии.

При крупозной пневмонии выявляется снижение прозрачности лёгочной ткани, оно может быть тотальным (поражение всего лёгкого), субтотальным (поражение одной или нескольких долей), сегментарным, когда инфильтрация занимает 1 или несколько сегментов.

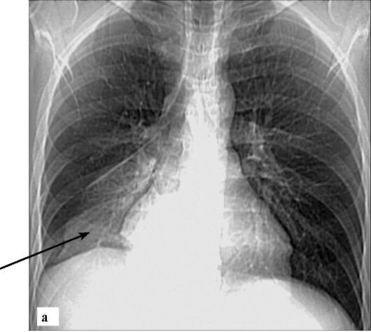
Правосторонняя нижнедолевая пневмония на рентгенограмме
Правосторонняя нижнедолевая пневмония на рентгенограмме

При очаговой пневмонии на рентгене или КТ определяются очаговые тени размерами от 3 до 15 мм. Гомогенное затемнение выявляется в одном или нескольких сегментах лёгких, чаще в нижних отделах.

Для воспаления лёгких характерно усиление легочного рисунка, расширение корня легкого на стороне поражения. Возможно появление плеврального выпота (жидкости в плевральной полости).

В зависимости от возбудителя пневмонии рентгенологические признаки могут отличаться. Так, например, при стафилококковой пневмонии определяется полисегментарная инфильтрация с возможным образованием абсцессов, при микоплазменной пневмонии - двусторонние очаги, при воспалении лёгких, вызванным клебсиеллой или грамотрицательными бактериями, в ряде случаев развивается эмпиема плевры.

При вирусной пневмонии чаще поражаются оба лёгких, преимущественно нижние доли и задние сегменты с периферическим и субплевральным распространением. Образование полостей с жидкостью, плеврального выпота, поражение лимфоузлов средостения для вирусной пневмонии не характерно.

Праврсторонняя нижнедооевая пневмония на КТ
Праврсторонняя нижнедооевая пневмония на КТ

При неясной картине на рентгене легких показано экспертное исследование - КТ, на котором отображается срез в разных ракурсах. Данный метод позволяет оценить патологические изменения уже на начальных стадиях пневмонии.

В нынешней ситуации в условиях эпидемии, показания для проведения КТ расширены.

Некоторые пульмонологи и терапевты рекомендуют его выполнение всем пациентам с признаками ОРВИ. Но не всегда это целесообразно и технически возможно, что связано с довольно высокой лучевой нагрузкой, высокой стоимостью исследования и отсутствием аппарата КТ в некоторых стационарах.

Но в случае развития у пациента острой дыхательной недостаточности, методом выбора оценки степени поражения лёгких является КТ.

Берегите себя! Понравилась статья- ставьте лайк и подписывайтесь на мой канал!