Добавить в корзинуПозвонить
Найти в Дзене
ВегоПОнемногу

Врачи ломают голову над проблемами легких при COVID-19

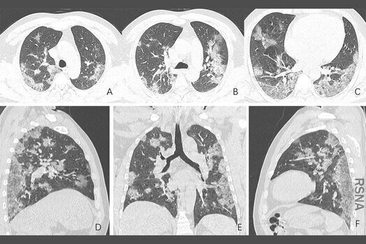
7 апреля 2020 года — по мере того, как врачи лечат больше пациентов, которые тяжело больны от COVID-19, они замечают различия в том, как их легкие повреждены. У некоторых пациентов, поступающих в больницу, очень низкий уровень кислорода в крови, но вы не обязательно узнаете об этом из разговора с ними. Похоже, они не испытывают недостатка в кислороде. Они могут быть немного сбиты с толку. Но они не борются за то, чтобы дышать. Когда врачи делают снимки их легких-либо с помощью КТ-сканера, либо рентгеновского аппарата-они также выглядят довольно здоровыми. Легкие могут иметь несколько областей помутнения, указывающих на пятна повреждения от их инфекции, но большая часть легких черная, указывающая на то, что она заполнена воздухом. «Если бы десятки тысяч моих сограждан из Нью-Йорка застряли в самолете на высоте 30 000 футов, и давление в кабине медленно отпускается. Эти пациенты медленно изголодались по кислороду», -сказал Кэмерон Кайл-Сайделл, доктор медицины, врач скорой помощи и в

7 апреля 2020 года — по мере того, как врачи лечат больше пациентов, которые тяжело больны от COVID-19, они замечают различия в том, как их легкие повреждены.

У некоторых пациентов, поступающих в больницу, очень низкий уровень кислорода в крови, но вы не обязательно узнаете об этом из разговора с ними. Похоже, они не испытывают недостатка в кислороде. Они могут быть немного сбиты с толку. Но они не борются за то, чтобы дышать.

Когда врачи делают снимки их легких-либо с помощью КТ-сканера, либо рентгеновского аппарата-они также выглядят довольно здоровыми. Легкие могут иметь несколько областей помутнения, указывающих на пятна повреждения от их инфекции, но большая часть легких черная, указывающая на то, что она заполнена воздухом.

«Если бы десятки тысяч моих сограждан из Нью-Йорка застряли в самолете на высоте 30 000 футов, и давление в кабине медленно отпускается. Эти пациенты медленно изголодались по кислороду», -сказал Кэмерон Кайл-Сайделл, доктор медицины, врач скорой помощи и врач критической помощи в Медицинском центре Maimonides в Бруклине.

“У целой группы этих пациентов действительно низкий уровень кислорода, но их легкие не выглядят так уж плохо”, - говорит Тодд Булл, доктор медицинских наук, директор Центра легких и дыхания в Медицинской школе Университета Колорадо в Авроре.

Врачи в Италии заметили то же самое. И в некоторых случаях это может означать, что пациенты должны лечиться немного по-другому, чтобы обеспечить лучший результат.

Доктор Лучано Гаттинони говорит, что более половины пациентов, которых он и его коллеги лечили в Северной Италии, имели этот необычный симптом. Они, кажется, могут дышать просто прекрасно, но их кислород очень низок.

По словам Гаттинони, около 30% пациентов COVID-19, которые приходят в больницу, имеют затуманеные легкие при сканировании изображений, и они окоченели и воспалены, показывая, что они не работают хорошо. У пациентов также есть низкий уровень кислорода в их крови, и они изо всех сил пытаются дышать. Они выглядят как пациенты с тяжелой пневмонией, вызванной вирусом.

Врачи должны обратить внимание на то, как COVID-19 повлиял на легкие и дыхание каждого пациента, которого они лечат, прежде чем принимать решение о лечении. Пациенты с более классическим типом COVID-19 ОРДС часто нуждаются в механической вентиляции сразу, которая увеличивает кислород в легких.

Гаттинони считает, что проблема для пациентов может заключаться в запутанной паутине кровеносных сосудов в легких.

Обычно, когда легкие становятся поврежденными, сосуды, которые несут кровь через легкие, чтобы она могла быть повторно насыщена кислородом, сжимаются или закрываются, поэтому кровь может быть шунтирована из области, которая повреждена, в область, которая все еще работает должным образом. Это защищает организм от падения уровня кислорода.

Гаттинони считает, что некоторые пациенты COVID-19 больше не могут этого делать. Таким образом, кровь все еще течет к поврежденным частям легких. Люди все еще чувствуют, что они делают хорошие вдохи, но их кислород в крови падает все равно.

Эта проблема с кровеносными сосудами похожа на то, что происходит в состоянии, называемом высотным отеком легких, или HAPE, говорит Булл.

Пациенты HAPE выздоравливают, когда вы спускаете их с большой высоты и даете им кислород. Иногда их также помещают на ИВЛ и лечат лекарствами, включая диуретики, чтобы удалить жидкость, которая затопила их легкие. Необходимы дополнительные исследования, чтобы узнать, может ли любая из этих стратегий помочь пациентам COVID-19. Стероиды, в частности, не были показаны, что помогают с ОРДС и могут сделать его хуже.

“Возможно ли, что есть проблема с тем, как кровеносные сосуды регулируют кровоток? Это, я думаю, возможность, которая будет отличаться от того, что мы обычно видим в ARDS”, - говорит Булл.

“На данный момент это всего лишь гипотеза. Это должно быть доказано", - говорит он.

Также важно отметить, что пациенты с относительно нормальными легкими могут прогрессировать до ОРДС, поскольку вирус атакует их легочную ткань, говорит Гаттинони.

Он говорит, что эти пациенты с более нормальными на вид легкими, но низким содержанием кислорода в крови, также могут быть особенно уязвимы для связанных с вентиляцией легких травм, когда давление воздуха, которое вводится в легкие, повреждает тонкие воздушные мешки, которые обмениваются кислородом с кровью.

При нормальном дыхании наши легкие расширяются из-за отрицательного давления. Большая тонкая мышца в нижней части легких, называемая диафрагмой, тянет вниз, и наши легкие расширяются, чтобы заполнить увеличенное пространство. Но вентиляторы работают, нагнетая воздух в легкие, что является положительным давлением, как то, что происходит, когда вы взрываете воздушный шар. Эти машины могут помочь людям, чьи легкие стали слишком слабыми, чтобы работать, но они также могут вызвать повреждение, потому что они заставляют легкие работать так, как они не были предназначены.

«Когда давление становится слишком высоким, Вы можете нанести травму этим маленьким воздушным мешочкам. Они очень хрупкие", - говорит Майкл Мохнинг, доктор медицинских наук, пульмонолог и специалист по критической помощи в национальном еврейском здравоохранении в Денвере.

Гаттинони говорит, что помещение пациента на ИВЛ под слишком высоким давлением может привести к повреждению легких, что в конечном итоге выглядит как ОРДС.

Поэтому он предупреждает, что врачи должны знать о симптомах COVID-19 пациентов и должны использовать вентилятор осторожно и экономно.

В интервью MDEdge Гаттинони сказал, что один центр в Центральной Европе, который начал использовать различные методы лечения для различных типов COVID-19 пациентов не видели никаких смертей среди этих пациентов в своем отделении интенсивной терапии. Он сказал, что в соседней больнице, которая лечила всех пациентов COVID-19 на основе одного и того же набора инструкций, была 60% - ная смертность в ее отделении интенсивной терапии.

"Это своего рода болезнь, при которой вы не должны следовать протоколу-вы должны следовать физиологии", - сказал Гаттинони. "К сожалению, многие, очень многие врачи во всем мире не могут мыслить вне протокола."

С этим согласны и другие эксперты.

“Если вы чрезмерно растягиваете чье-то легкое на механической вентиляции, вы по существу генерируете больше ОРДС. Из-за тебя легкое протекает», - говорит Булл.

Он говорит, что пульмонологи стали намного лучше использовать вентиляторы, чтобы сделать их более безопасными для пациентов. Врачи работают, чтобы держать давление на легкие как можно ниже, чтобы предотвратить это повреждение.

Несколько недавних исследований помогли снизить уровень смертности для пациентов, которым необходимо находиться на ИВЛ. Исследование PROSEVA, опубликованное в New England Journal of Medicine, показало, что смертность среди вентилируемых пациентов может быть столь же низкой, как и 16% при оптимальном уходе.

До сих пор смертность среди пациентов с COVID-19 была выше, чем у всех остальных . Это может быть связано с тем, что некоторые пациенты COVID-19 часто должны находиться на ИВЛ в течение длительного времени, иногда до 2 недель. Они также склонны иметь другие условия, так что вполне возможно, что они больнее, чтобы начать С. Необходимы дополнительные исследования, чтобы понять, почему, и врачи будут продолжать обмениваться передовым опытом, поскольку они видят вещи, которые необходимо решить.