Найти в Дзене
Нейроновости

Рачки, внедряясь в нервную систему, превращают жертв в зомби

Исследователи из СПбГУ и Зоологического института РАН изучили два вида корнеголовых ракообразных и выяснили, что эти паразиты умеют буквально врастать в чужую нервную систему, чтобы управлять своими хозяевами — другими ракообразными. Известно, что «манипуляторы» способны вызывать у крабов-самцов феминизацию, заставляя их вести себя как беременные самки. Возможно, секрет в том, что виды корнеголовых научились управлять выработкой серотонина в организмах своих жертв. Результаты исследования опубликованы в журнале Scientific Reports. Следы Peltogasterella gracilis в нервных узлах раков-хозяев «Когда речь идет о ракообразных, люди обычно представляют себе раков или креветок, — объясняет ведущий автор статьи, исследователь СПбГУ Алексей Миролюбов. — На самом деле их огромное количество, в том числе есть большое количество паразитических форм. Мы исследовали корнеголовых ракообразных — родственников морских уточек и морских желудей, которые совершенно не похожи на обычных раков. Они живут в

Исследователи из СПбГУ и Зоологического института РАН изучили два вида корнеголовых ракообразных и выяснили, что эти паразиты умеют буквально врастать в чужую нервную систему, чтобы управлять своими хозяевами — другими ракообразными. Известно, что «манипуляторы» способны вызывать у крабов-самцов феминизацию, заставляя их вести себя как беременные самки. Возможно, секрет в том, что виды корнеголовых научились управлять выработкой серотонина в организмах своих жертв. Результаты исследования опубликованы в журнале Scientific Reports.

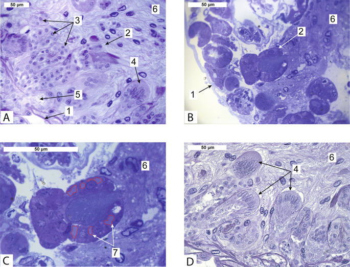
Следы Peltogasterella gracilis в нервных узлах раков-хозяев

«Когда речь идет о ракообразных, люди обычно представляют себе раков или креветок, — объясняет ведущий автор статьи, исследователь СПбГУ Алексей Миролюбов. — На самом деле их огромное количество, в том числе есть большое количество паразитических форм. Мы исследовали корнеголовых ракообразных — родственников морских уточек и морских желудей, которые совершенно не похожи на обычных раков. Они живут внутри других ракообразных, поэтому их тело больше напоминает своеобразную мочалку, которая пронизывает все тело хозяина, в том числе — его нервную систему».

Как отмечает ученый, именно корнеголовые ракообразные — возможно, одни из самых продвинутых паразитов на планете. Исследователи изучили два вида — беломорского Peltogasterpaguriи дальневосточного Peltogasterella gracilis — и выяснили, что они способны формировать паразит-хозяинный интерфейс: в мозге «жертвы» появляется практически «центр управления полетами» — бокаловидный орган, который, как предполагают ученые, выделяет в нервную ткань вещества, помогающие управлять хозяином.

«Известно, что «зомбированию» подвластны крабы и раки-отшельники: паразит заставляет их (причем даже самцов) вести себя как беременные самки, — объяснил Алексей Миролюбов. — Дело в том, что в месте, где крабы обычно вынашивают икру, находится половая система паразита — его собственная икра. Чтобы сохранить ее в безопасности, паразит «убеждает» хозяина заботиться как о собственной икре, быть менее агрессивным и хорошо питаться. Мы предполагаем, что он умеет менять состав нейромедиаторов (веществ, с помощью которых передаются нервные импульсы) в нервной системе хозяина. Например, известно, что увеличение количества серотонина у животных как раз связано с повышением аппетита и снижением агрессии».

Следующий вопрос, на который постараются найти ответы исследователи, связан с тем, как именно паразиту удается преодолеть оболочку ганглия, которой защищена нервная ткань. Кроме того, корнеголовое ракообразное каким-то образом заставляет периферические нервные волокна хозяина буквально обрастать вокруг его собственного тела. Это удивительное явление, отмечают ученые, ведь в природе нечасто встречаются примеры возникновения новообразований в нервной ткани взрослых животных. Изучение этих механизмов в будущем, возможно, позволит понять, как можно восстанавливать нервную ткань и в организме человека.

«Иногда эти паразиты занимают до 50 % нервной ткани хозяина — это очень большой объем, — рассказал Алексей Миролюбов. — При этом хозяин не теряет никаких жизненно важных функций. Чаще всего паразиты что-то разрушают в организме хозяина, чтобы вызвать те или иные изменения в поведении. Эти же виды действуют очень нежно и тонко, буквально подчиняя себе волю хозяина».

Исследования проводились с использованием оборудования ресурсных центров Научного парка СПбГУ «Центр микроскопии и микроанализа», «Хромас», а также «Развитие молекулярных и клеточных технологий». Работа поддержана грантом Российского фонда фундаментальных исследований № 18-34-00727\18.

Текст: СПбГУ

Miroliubov, A., Borisenko, I., Nesterenko, M. et al. Specialized structures on the border between rhizocephalan parasites and their host’s nervous system reveal potential sites for host-parasite interactions. Sci Rep 10, 1128 (2020). https://doi.org/10.1038/s41598-020-58175-4

Наука
7 млн интересуются