Добавить в корзинуПозвонить
Найти в Дзене
Ринат Хоконов

5 способов отбелить зубы дома

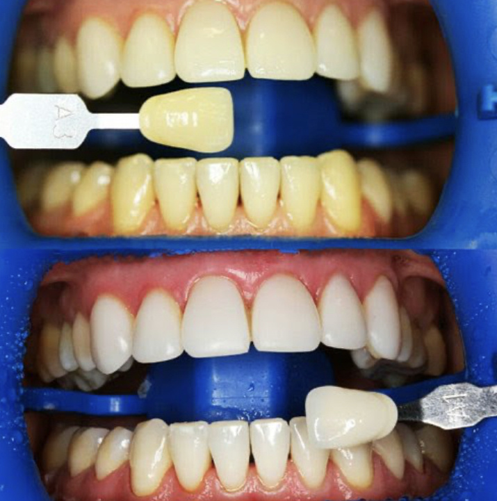
Я работаю стоматологом. Неделю назад ко мне пришла пациентка с повышенной чувствительностью зубов. Она рассказала, что всю неделю чистила зубы пищевой содой и думала, что они станут светлее. В реальности все оказалось не так. В этой статье я расскажу, как работает отбеливание. Какие способы домашнего отбеливания бывают и почему нужно опасаться соды, угля и лимонного сока. Как работает отбеливание зубов Действующий компонент любого отбеливающего препарата — перекись водорода. Она содержится абсолютно во всех профессиональных препаратах для отбеливания. Чем больше концентрация перекиси, тем сильнее видно эффект отбеливания. Например, в полосках для домашнего отбеливания содержится 6% перекиси водорода, в кабинетном отбеливании Zoom, где используется световая активация — 25%. Во время отбеливания перекись водорода из отбеливающего геля разрушает пигмент эмали и вымывает из нее минералы. Эмаль начинает хуже выполнять свои защитные функции и пропускает раздражители, которые действуют на не
Оглавление

Я работаю стоматологом. Неделю назад ко мне пришла пациентка с повышенной чувствительностью зубов.

Она рассказала, что всю неделю чистила зубы пищевой содой и думала, что они станут светлее. В реальности все оказалось не так. В этой статье я расскажу, как работает отбеливание. Какие способы домашнего отбеливания бывают и почему нужно опасаться соды, угля и лимонного сока.

Как работает отбеливание зубов

Действующий компонент любого отбеливающего препарата — перекись водорода. Она содержится абсолютно во всех профессиональных препаратах для отбеливания. Чем больше концентрация перекиси, тем сильнее видно эффект отбеливания. Например, в полосках для домашнего отбеливания содержится 6% перекиси водорода, в кабинетном отбеливании Zoom, где используется световая активация — 25%.

Кабинетное отбеливание системой Zoom на 7 тонов
Кабинетное отбеливание системой Zoom на 7 тонов

Во время отбеливания перекись водорода из отбеливающего геля разрушает пигмент эмали и вымывает из нее минералы. Эмаль начинает хуже выполнять свои защитные функции и пропускает раздражители, которые действуют на нерв. Зубы начинают реагировать на холод, тепло, кислые и сладкие продукты. Даже на простую чистку зубов. Когда говорят, что отбеливание опасно, имеют в виду именно это. Но, если укрепить эмаль, то ее структура будет прочной и отбеливающий агент разрушит только пигмент.

Перед отбеливанием, особенно если у вас чувствительные зубы, необходимо провести подготовку — реминерализация. Она сделает эмаль устойчивой. В противном случае отбеливание может повысить чувствительность.

Когда нельзя отбеливать

Если на зубах есть повреждения, например, кариес, клиновидный дефект или эрозии. Отбеливание может навредить таким зубам и усугубить болезнь. Перед отбеливанием нужно проконсультироваться со стоматологом. Он проверит, есть ли на зубах повреждения и, если что-то обнаружит, предложит вам пролечиться.

Крупные пломбы, единичные виниры и коронки на передних зубах тоже мешают. Они, в отличие от эмали, не отбеливаются. Проблему можно решить только заменив их на новые.

Нельзя отбеливать зубы, если на зубах есть повреждения, большие пломбы, единичные виниры и коронки.

1. Отбеливание гелем в индивидуальных каппах

Отбеливающий гель Opalescence PF. Цена 2 250 рублей.
Отбеливающий гель Opalescence PF. Цена 2 250 рублей.

Для такого отбеливания нужно сходить к стоматологу и попросить изготовить индивидуальную каппу. Эти каппы нельзя нигде купить. Чтобы их сделать стоматолог снимет слепки с ваших зубов и точно по ним изготовит каппы. Они полностью повторяют форму ваших зубных рядов и никому другому не подойдут. По этой же причине вам не подойдут чужие каппы.

Индивидуальные каппы практически незаметны окружающим, когда вы разговариваете или улыбаетесь. Можно носить их не только дома, но и на работе, встрече или других мероприятиях. Минус — в них нельзя есть.

Еще у стоматолога нужно узнать какую концентрацию геля использовать и как долго его применять. Каждому оттенку зубов нужна своя схема отбеливания. Отбеливающий гель разных концентраций продают в шприцах с удобным тонким носиком.

  1. Подготовьте каппу, промойте и просушите ее
  2. Выдавите гель из шприца в каппу так, чтобы он тонким слоем покрывал всю внутреннюю поверхность
  3. Поместите каппу по центру зубного ряда
  4. Зафиксируйте на зубах надавливаниями пальцев. Верхнюю — большими пальцами, нижнюю — средними и указательными
  5. После использования промойте и просушите каппу. Постепенно, день за днем, проявляется результат. Концентрация в гелях для домашнего отбеливания довольно низкая, от 10 до 20 %, но это компенсируется длительным воздействием. Вреда от такого отбеливания, по данным исследований, не найдено. Главное, не ходить в каппе дольше, чем порекомендует стоматолог.
Каппа прослужит дольше, если хранить ее в специальном контейнере
Каппа прослужит дольше, если хранить ее в специальном контейнере

Индивидуальные каппы многоразовые. Нужно просто промывать и просушивать их после использования. Для хранения можно купить специальный контейнер. Он защищает каппу от пыли и повреждений.

Отбеливание гелем в индивидуальной каппе самое эстетичное и удобное. Но индивидуальную каппу нужно изготавливать у стоматолога, а гель покупать отдельно.

2. Гелем в универсальных каппах

Универсальные каппы с отбеливающим гелем Opalescence TresWhite Supreme. Цена 4 500 рублей.
Универсальные каппы с отбеливающим гелем Opalescence TresWhite Supreme. Цена 4 500 рублей.

В отличии от индивидуальных, универсальные каппы одноразовые. Их не нужно изготавливать в кабинете у стоматолога. Они сделаны из эластичного материала, которые ложиться на любую форму зубного ряда. Минус в том, что они непрозрачные и объемные. Из-за этого видны окружающим и могут мешать разговаривать. Такие каппы лучше носить дома или в промежуток времени, когда вам не нужно будет ни с кем общаться.

Для универсальных капп не нужно покупать отбеливающий гель. Производитель продает их в защитной упаковке и заранее наполняет вязким гелем, который не вытекает. Правда концентрация геля всего 10 %.

  1. Достаньте каппу из защитной упаковки
  2. Возьмите за держатель и поместите каппу по центру зубного ряда
  3. Слегка прикусите или придавите каппу языком
  4. Потяните за держатель и вытащите верхний цветной слой
  5. Языком расправьте белый внутренний слой
  6. Повторите со второй каппой
  7. После использования выкиньте каппу. Производитель рекомендует носить каппу 30 — 40 минут в день. Но лучше, как и в случае с индивидуальной каппой, проконсультироваться со стоматологом. Нужно всегда помнить, что каждому оттенку зубов нужна своя схема отбеливания.

Универсальные каппы продаются сразу с гелем, но они не такие удобные.

Домашнее отбеливание с каппами обоих видов можно делать не больше двадцати восьми дней в году, два раза по две недели.

3. Гелем со световой активацией

Система отбеливания зубов GLO SCIENCE. Цена 13 300 рублей.
Система отбеливания зубов GLO SCIENCE. Цена 13 300 рублей.

Основные элементы — светящаяся накладная каппа и отбеливающий гель в концентрации 6,5 %. Пока каппа излучает голубой свет, гель нагревается и за четыре ежедневных восьмиминутных сеанса осветляет зубы на пять тонов.

Сам по себе гель с низкой концентрацией отбеливает незначительно. Но исследования показывают, что активация светом усиливает эффект отбеливания. В результате, даже низкая концентрация геля со световой активацией может отбелить зубы на несколько тонов.

  1. Нанесите гель на верхние и нижние зубы с внешней стороны
  2. Поместите каппу прибора за верхнюю и нижнюю губу
  3. Нажмите кнопку запуска на элементе управления, каппа загориться синим светом
  4. Не доставайте каппу, пока свет не погаснет. Это произойдет через 8 минут после включения
  5. Достаньте каппу, выплюньте излишнюю слюну
  6. Протрите каппу
  7. Повторите процедуру

Производитель рекомендует повторять процедуру до 4 раз в день не более 10 дней подряд.

В системах с активацией светом низкая концентрация отбеливающего геля. Но свет усиливает эффект и система отбеливает зубы на 5 тонов.

4. Отбеливающими полосками

Отбеливающие полоски Crest 3d white. Цена 4 420 рублей.
Отбеливающие полоски Crest 3d white. Цена 4 420 рублей.

Внешне отбеливающие полоски немного заметны, но не мешают улыбаться и разговаривать. Они плотно прилипают к зубам и не сползают.

Концентрация отбеливающего геля на полосках — 6 %. Это меньше, чем в геле для универсальных капп. Поэтому эффект от них тоже будет меньше. За один курс эмаль получиться отбелить не больше, чем на четыре тона.

  1. Достаньте полоски из защитной упаковки
  2. Отклейте длинную полоску от подложки
  3. Приложите ее липкой стороной к передней поверхности на зубов верхней челюсти
  4. Подогните и зафиксируйте большими и указательными пальцами
  5. Возьмите короткую полоску и приклейте ее на зубы нижней челюсти
  6. Отклейте через 30 минут и выбросите

Производитель рекомендует носить полоски 30 минут в день до 20 дней. Несмотря на такой долгий курс есть положительное исследование, не нашедшее вреда в отбеливающих полосках. А вот если использовать их еще дольше, может появиться повышенная чувствительность зубов и дискомфорт в полости рта.

В отбеливающих полосках самая низкая концентрация перекиси. Их придется использовать дольше других методов.

5. Пастами

Отбеливающие пасты удаляют налет от чая, кофе и табака. С помощью них можно вернуть эмали ее природный оттенок, который не обязательно окажется белым. Тот, кто следит за гигиеной, не курит и не пьет кофе, эффекта отбеливания после паст, скорее всего, не заметит. Отбелить эмаль на несколько тонов, как гелем, не получится.

Отбеливающие пасты бывают абразивные и энзимные. Разница — в том, как они действуют на налет.

Энзимная паста Curaprox Enzycal 880 руб. Чаще встречается в аптеках.
Энзимная паста Curaprox Enzycal 880 руб. Чаще встречается в аптеках.
Отбеливающие пасты удаляют налет. Отбелить ими эмаль на несколько тонов, как гелем, не получится.

Что делать после отбеливания

Не есть красящие продукты 2 дня. Иначе зубы могут окраситься. То есть не пить черный чай, кофе, красное вино, вишневый сок, кока-колу, и не есть соусы, томатный суп борщ. Все, что оставит пятно на вашей футболке, окрасит и зубы.

Провести процедуру реминерализации, если вы чувствуете дискомфорт при чистке зубов или боли при приеме пищи. В таком случае обязательно обратитесь к стоматологу. Если он не обнаружит заболеваний, то предложит вам снова пройти процедуру реминерализации. Ее можно сделать в кабинете стоматолога или дома с помощью универсальных капп с реминерализующим гелем.

После отбеливания нужно исключить из рациона красящие продукты. Если зубы стали чувствительными, пройти процедуру реминерализации.

Чем нельзя отбеливать зубы

Порошками с крупными частицами, например, зубным порошком, пищевой содой и активированным углем. Это мощные абразивы. Они царапают эмаль сильней, чем абразивные пасты с самым высоким показателем RDA. Эмаль становится шероховатой. Микробы оседают на ней легче и начинают кариозный процесс.

Пищевыми продуктами с высокой кислотностью, например, лимоном, апельсином или яблочным уксусом. Их кислота нарушает  кислотно-щелочной баланс во рту. В результате из эмали вымываются минералы, появляются эрозии.

Эрозии эмали верхних резцов из-за отбеливания зубов непредназначенными для этого средствами
Эрозии эмали верхних резцов из-за отбеливания зубов непредназначенными для этого средствами

Принцип действия похож на отбеливание профессиональными средствами. Отличие в том, что в профессиональных средствах концентрация кислоты рассчитана на оптимальное и безопасное действие. Если соблюдать рекомендации во время отбеливания, навредить не получится.

В пищевых «отбеливателях» концентрация кислоты высокая. Любители свежевыжатого апельсинового сока иногда страдают от эрозий эмали, хотя они просто пили сок.

Нельзя отбеливать зубы порошками с крупными частицами и пищевыми продуктами с высокой кислотностью.

Памятка

  1. Перед отбеливанием необходимо провести подготовку — реминерализацию. Она сделает эмаль устойчивой.
  2. Нельзя отбеливать зубы, если на зубах есть повреждения, большие пломбы, единичные виниры и коронки.
  3. Отбеливание гелем в индивидуальной каппе самое эстетичное и удобное.Но индивидуальную каппу нужно изготавливать у стоматолога, а гель покупать отдельно.
  4. Универсальные каппы продаются сразу с гелем, но они не такие удобные.
  5. В системах с активацией светом низкая концентрация отбеливающего геля. Но свет усиливает эффект и система отбеливает зубы на 5 тонов.
  6. В отбеливающих полосках самая низкая концентрация перекиси. Их придется использовать дольше других методов.
  7. Отбеливающие пасты удаляют налет от чая, кофе и табака. С помощью них можно вернуть эмали ее природный оттенок, который не обязательно окажется белым. Отбелить эмаль на несколько тонов, как гелем, не получится.
  8. После отбеливания нужно исключить из рациона красящие продукты. Если зубы стали чувствительными, пройти процедуру реминерализации.
  9. Нельзя отбеливать зубы порошками с крупными частицами и пищевыми продуктами с высокой кислотностью.

Здоровые зубы — показатель здорового организма в целом. Мы подготовили для вас 15 советов по здоровью, которые помогут сохранить молодость и энергию. Укажите свой email и нажмите кнопку скачать