Добавить в корзинуПозвонить
Найти в Дзене
Юлия Селютина

Когда можно без наркоза?

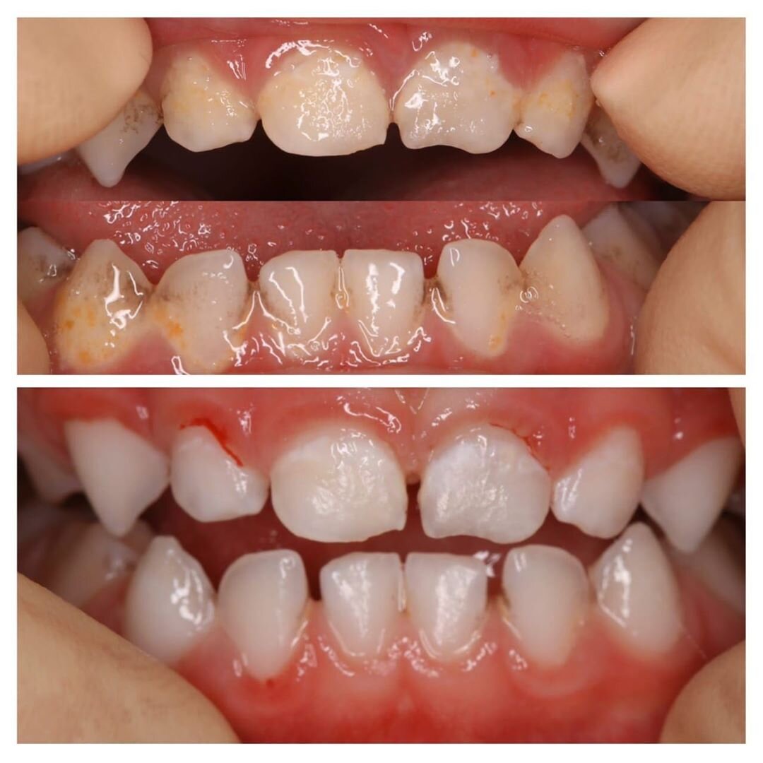
Нет контакта от слова совсем! Девочка кричит и абсолютно не дает заглянуть к себе в ротик. Нашей маленькой пациентке 2 годика. На зубах обильный микробный зубной налет. Это гарантирует, что в перспективе появится кариес. Ей обязательно требуется провести профессиональную гигиену и почистить все зубки, иначе они неминуемо будут разрушаться! Но что делать, если девочка совсем не идет на контакт с врачом? Чистка занимает по времени 2 минуты - держать или наркоз? По-моему второй вариант абсолютно нецелесообразен. Родителям все объяснили и им пришлось попридержать дочку во время процедуры. Ничего криминального и страшного не случилось, я считаю. Зато после снятия налета мы обнаружили: ✔Белые пятна - это кариес в стадии пятна. Если не принять меры, то он продолжит разрушать зубы и появятся полости, которые нужно будет пломбировать. ✔Десна воспалена от обилия мягкого зубного налет. Это гингивит, и из-за него имеется небольшая кровоточивость. Назначена обработка антисептиком для снятия вос

Нет контакта от слова совсем!

Девочка кричит и абсолютно не дает заглянуть к себе в ротик.

Нашей маленькой пациентке 2 годика.

На зубах обильный микробный зубной налет.

Это гарантирует, что в перспективе появится кариес.

Ей обязательно требуется провести профессиональную гигиену и почистить все зубки, иначе они неминуемо будут разрушаться!

Но что делать, если девочка совсем не идет на контакт с врачом?

Чистка занимает по времени 2 минуты - держать или наркоз?

По-моему второй вариант абсолютно нецелесообразен.

Родителям все объяснили и им пришлось попридержать дочку во время процедуры.

Ничего криминального и страшного не случилось, я считаю.

Зато после снятия налета мы обнаружили:

✔Белые пятна - это кариес в стадии пятна.

Если не принять меры, то он продолжит разрушать зубы и появятся полости, которые нужно будет пломбировать.

✔Десна воспалена от обилия мягкого зубного налет.

Это гингивит, и из-за него имеется небольшая кровоточивость.

Назначена обработка антисептиком для снятия воспаления.

ИМЕЮТСЯ ПРОТИВОПОКАЗАНИЯ. НЕОБХОДИМА КОНСУЛЬТАЦИЯ СПЕЦИАЛИСТА.