Найти в Дзене
Екатерина

Как делают УЗИ шейки матки и что оно покажет: показания, подготовка и доступная расшифровка

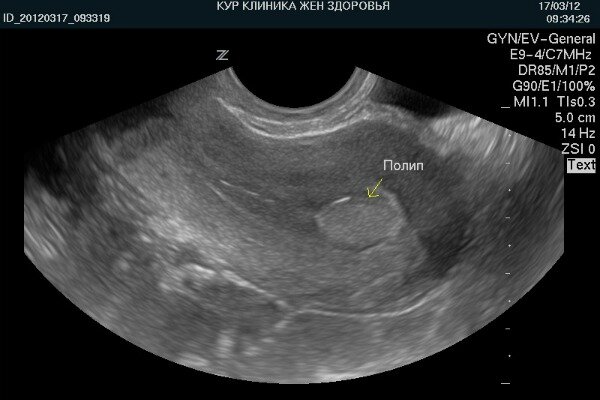
УЗИ — метод диагностики болезней шейки матки, который рекомендован всем женщинам старше 40 лет. Процедура способна выявить на ранних стадиях самое опасное и трудноизлечимое заболевание — рак. Она входит в стандарт обязательного обследования наряду с маммографией и ЭКГ. Также на УЗИ видны полипы и эрозии, которые являются фоновыми состояниями для развития злокачественных опухолей. Читайте на сайте...

УЗИ — метод диагностики болезней шейки матки, который рекомендован всем женщинам старше 40 лет. Процедура способна выявить на ранних стадиях самое опасное и трудноизлечимое заболевание — рак. Она входит в стандарт обязательного обследования наряду с маммографией и ЭКГ. Также на УЗИ видны полипы и эрозии, которые являются фоновыми состояниями для развития злокачественных опухолей. Читайте на сайте...