Добавить в корзинуПозвонить
Найти в Дзене
НАУКА из первых рук

Мини-печень «из пробирки» – надежная модель для поиска лечения неалкогольной жировой болезни печени

Ожирение, которое в современном обществе становится эпидемией, является одним из основных факторов риска развития неалкогольной жировой болезни печени. Ученые вырастили из клеток человека генетически модифицированные миниатюрные печени, которые могут служить испытательным стендом для тестирования лекарственных средств против этого заболевания  Неалкогольная жировая болезнь печени (НЖБП) – это патологическое состояние, при котором у людей, не злоупотребляющих алкоголем, в печени накапливается жир. Причиной, как правило, служит высококалорийная диета, которая вместе с низкой физической активностью ведет к избыточному весу и ожирению. На формирование НЖБП влияют также генетические факторы и резистентность к инсулину. Это состояние представляет немалую угрозу для здоровья и жизни человека, так как может привести к печеночной недостаточности и циррозу печени, а также к развитию диабета, сердечно-сосудистых и почечных заболеваний.  Группа ученых из США, Китая, Японии и Герма

Ожирение, которое в современном обществе становится эпидемией, является одним из основных факторов риска развития неалкогольной жировой болезни печени. Ученые вырастили из клеток человека генетически модифицированные миниатюрные печени, которые могут служить испытательным стендом для тестирования лекарственных средств против этого заболевания 

Неалкогольная жировая болезнь печени (НЖБП) – это патологическое состояние, при котором у людей, не злоупотребляющих алкоголем, в печени накапливается жир. Причиной, как правило, служит высококалорийная диета, которая вместе с низкой физической активностью ведет к избыточному весу и ожирению. На формирование НЖБП влияют также генетические факторы и резистентность к инсулину. Это состояние представляет немалую угрозу для здоровья и жизни человека, так как может привести к печеночной недостаточности и циррозу печени, а также к развитию диабета, сердечно-сосудистых и почечных заболеваний. 

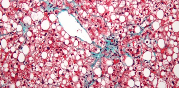
Неалкогольная жировая болезнь печени характеризуется накоплением капель жира (белый цвет) и умереннымй фиброзом (зеленый). Клетки печени – гепатоциты, окрашены красным
Неалкогольная жировая болезнь печени характеризуется накоплением капель жира (белый цвет) и умереннымй фиброзом (зеленый). Клетки печени – гепатоциты, окрашены красным

Группа ученых из США, Китая, Японии и Германии вырастили из клеток человека миниатюрные печени, чтобы создать модель НЖБП. Для этого они использовали так называемые индуцированные плюрипотентные стволовые клетки человека, которые были перепрограммированы в нужный тип и генетически отредактированы

Исходными клетками для органоидов стали обычные фибробласты кожи человека, в которые встроили «выключатель» гена SIRT1, одного из генов старения. Известно, что этот ген играет решающую роль в развитии НЖБП, так как он поддерживает энергетический метаболизм в клетках печени и препятствует накоплению в них жира. 

Измененные фибробласты превратили в индуцированные плюрипотентные стволовые клетки, а затем в клетки печеночной ткани и заселили ими соединительнотканный каркас печени мыши, то есть, печень, из которой удалили все клеточные элементы. Когда клетки разрослись, получились мини-печени, не вполне полноценные, но с кровеносными сосудами и другими структурными особенностями нормального органа, в отличие от «классических» органоидов.

После создания органоидов исследователи «нажали на кнопку», подавив работу гена SIRT1, и увидели, что в ткани печени появились характерные изменения, наблюдаемые у людей с НЖБП. 

Затем они проверили на таком органоиде с патологией действие ресвератрола – вещества, содержащегося в кожуре винограда и красном вине, действию которого приписывают «французский парадокс», сравнительно низкий уровень сердечно-сосудистых и онкологических заболеваний при высококалорийном рационе питания у жителей Франции. Было известно, что ресвератрол эффективен на мышиной модели НЖБП, но клинические испытания на людях не прошел. 

Увы, и в полученных мини-органах ресвератрол оказался неэффективен. Дело в том, что он работает, связываясь с белком SIRT1. Но если активность этого гена подавлена, то соответствующий белок не синтезируется. Ученые предполагают, что у людей, в отличие от мышей, при развитии НЖБП экспрессия этого гена падает естественным путем. 

Конечно, такие мини-печени нельзя использовать для трансплантаций. Однако они представляют собой надежную модель неалкогольной жировой болезни печени, на которой можно тестировать способы лечения.

Понравился материал? Не забудьте поставить лайк и подписаться!

Фото: https://pixabay.com и https://commons.wikimedia.org