Добавить в корзинуПозвонить
Найти в Дзене
Нейроновости

Что происходит внутри нейрона?

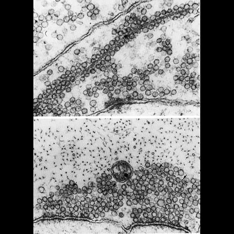
Это изображение из библиотеки The Cell Image Library дает нам возможность увидеть то, о чем многие интересующиеся нейронауками обычно не задумываются: то, что происходит внутри аксона нервной клетки. Если быть совсем точным, внутри гигантского аксона нейрона ЦНС морской миноги. Порою нейроученые забывают, что нейрон — это в первую очередь, клетка, а не только «провод», по которому бежит потенциал действия. На этом снимке мы видим везикулярный транспорт необходимых веществ вдоль микротрубочек аксона (вверху), внизу мы видим, как везикулы с нейромедиаторами скапливаются на периферии синаптического контакта. Credit: Don W. Fawcett, D.S. Smith, U. Järlfors, R. Beránek

Это изображение из библиотеки The Cell Image Library дает нам возможность увидеть то, о чем многие интересующиеся нейронауками обычно не задумываются: то, что происходит внутри аксона нервной клетки. Если быть совсем точным, внутри гигантского аксона нейрона ЦНС морской миноги. Порою нейроученые забывают, что нейрон — это в первую очередь, клетка, а не только «провод», по которому бежит потенциал действия. На этом снимке мы видим везикулярный транспорт необходимых веществ вдоль микротрубочек аксона (вверху), внизу мы видим, как везикулы с нейромедиаторами скапливаются на периферии синаптического контакта.

Credit: Don W. Fawcett, D.S. Smith, U. Järlfors, R. Beránek