Найти в Дзене
Нейроновости

Что с мозгом делает органическая химия

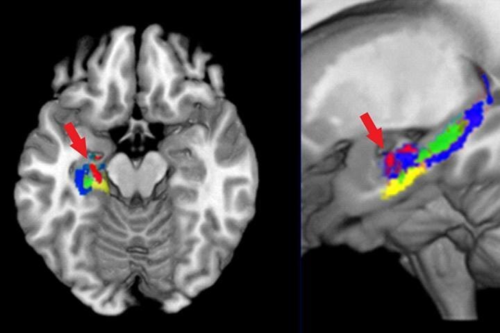
Перед вами — схема активности в мозге не-химика, который занимается выучиванием новых формул органических молекул. Три способа визуализации позволили установить новые детали в процессах обучения в головном мозге.  Подробности читайте на нашем портале в ближайшее время. Credit: Marcel Just and Timothy Keller Converging measures of neural change at the microstructural, informational, and cortical network levels in the hippocampus during the learning of the structure of organic compounds
Just, M.A. & Keller, T.A. Brain Structure & Function (2019). 10.1007/s00429-019-01838-4

Перед вами — схема активности в мозге не-химика, который занимается выучиванием новых формул органических молекул. Три способа визуализации позволили установить новые детали в процессах обучения в головном мозге.  Подробности читайте на нашем портале в ближайшее время.

Credit: Marcel Just and Timothy Keller

Converging measures of neural change at the microstructural, informational, and cortical network levels in the hippocampus during the learning of the structure of organic compounds
Just, M.A. & Keller, T.A. Brain Structure & Function (2019). 10.1007/s00429-019-01838-4