Добавить в корзинуПозвонить
Найти в Дзене
UNIM

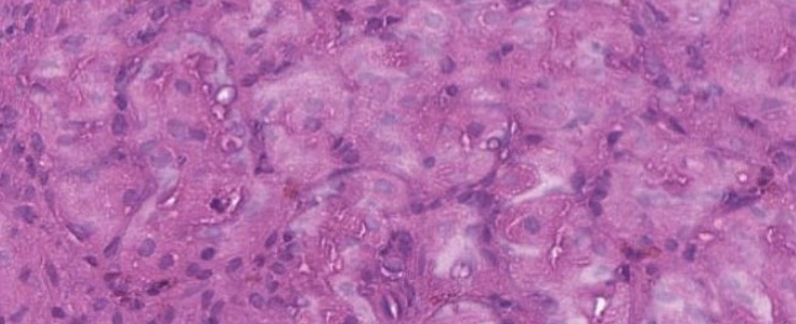
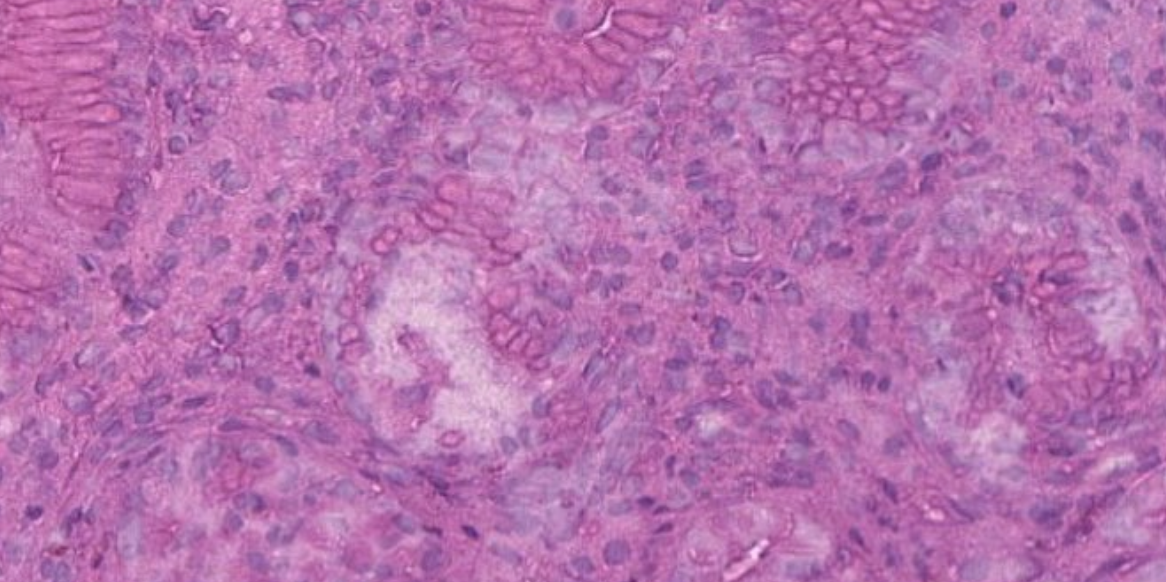
Страница гистолога: Плохая депарафинизация?

Сегодня мы поговорим об артефакте, с которым, наверное, многие сталкивались - это плохая депарафинизация срезов перед окрашиванием. 📍Как вы думаете, почему вообще может возникнуть такая проблема?
Варианты разные: грязные реагенты (ксилол), плохо протопленные стёкла, недостаточная обработка ткани на этапах фиксации и проводки... Но многие ли из нас задумывались о температуре в помещении во время окраски препаратов? ☝️А ведь температура самым непосредственным образом влияет на скорость реакции (см. правило Вант-Гоффа http://ximik.biz/znamenitie-himiki.-nobelevski…). Если температура ниже, химические реакции замедляются. ☝️Парафин становится более твёрдым при низких температурах (что следует из его физических свойств), а ксилол медленнее реагирует с ним при температуре ниже 20оС. На этом набито немало шишек, и причины тому - открытые окна, отключение отопления в холодное время года или яростные любители холода в помещении. ☝️Кстати, по СанПиНу для комнат с медицинской техникой темпер


Сегодня мы поговорим об артефакте, с которым, наверное, многие сталкивались - это плохая депарафинизация срезов перед окрашиванием.

📍Как вы думаете, почему вообще может возникнуть такая проблема?
Варианты разные: грязные реагенты (ксилол), плохо протопленные стёкла, недостаточная обработка ткани на этапах фиксации и проводки... Но многие ли из нас задумывались о температуре в помещении во время окраски препаратов?

☝️А ведь температура самым непосредственным образом влияет на скорость реакции (см. правило Вант-Гоффа http://ximik.biz/znamenitie-himiki.-nobelevski…). Если температура ниже, химические реакции замедляются.

☝️Парафин становится более твёрдым при низких температурах (что следует из его физических свойств), а ксилол медленнее реагирует с ним при температуре ниже 20оС. На этом набито немало шишек, и причины тому - открытые окна, отключение отопления в холодное время года или яростные любители холода в помещении.

☝️Кстати, по СанПиНу для комнат с медицинской техникой температура составляет 22-24оС в холодный период года и 21-23оС в тёплый период ;)
И всё же, если нормы по каким-либо причинам не были соблюдены, не всегда можно быстро нагреть помещение.

-2

☝️Некоторые лаборатории выходят из положения таким образом: используют подогрев ёмкостей с ксилолом (если такое предусмотрено в стейнере), или просто ставят закрытую бутыль с этим реактивом в термостат на ~полчаса при 37оС, а после используют для депарафинизации.

👍При таких условиях реакция протекает быстрее. Конечно, если ксилол не насыщен парафином.

☝️Поэтому важно не только следить за температурой, но и вовремя менять реактивы. А так же периодически контролировать предыдущие этапы, потому что такие проблемы обычно комплексные.

Автор текста: Дарья Сидорова

Лаборант-исследователь UNIM, Член Комитета лаборантов-гистологов Дарья Сидорова.