Добавить в корзинуПозвонить
Найти в Дзене

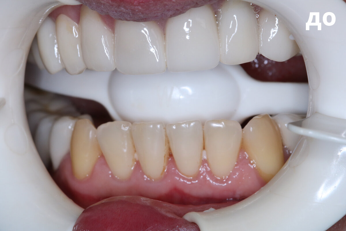
Отбеливание ZOOM3

Воздействие на эмаль системой Zoom имеет определенные достоинства в сравнении с другими методиками для устранения дисколорита:

Воздействие на эмаль системой Zoom имеет определенные достоинства в сравнении с другими методиками для устранения дисколорита:

  • быстрота – уже после одного сеанса наблюдается заметное осветление зубов, чего невозможно достичь, используя домашние техники;
  • гарантия результата
  • длительный результат
-2
  • безопасность – система Зум не оказывает разрушающего действия на эмаль, как это происходит при классической методике, и не раздражает слизистые оболочки;
  • короткий промежуток восстановления – период, когда для закрепления эффекта следует отказаться от курения и придерживаться «белой» диеты.
  • Отбеливание зубов системой Зум выполняется в несколько этапов:
  • выявление исходного оттенка эмали по шкале Вита, а также определение тона, который пациент желает получить;
  • обработка мягких тканей ротовой полости защитным кремом от ультрафиолетового воздействия;
  • фиксация губного ретрактора и защита глаз специальными оранжевыми очками;
  • на свободный край десны наносится жидкий коффердам, который при затвердевании образует плотный непроницаемый барьер для активного вещества и защищает от химических ожогов;
Фото "ПОСЛЕ"
Фото "ПОСЛЕ"
  • нанесение на вестибулярную поверхность зубов, входящих в линию улыбки, специального отбеливающего состава
  • установка лампы Zoom на максимально близком расстоянии к эмали так, чтобы ее лучи были сфокусированы в зоне, требующей изменения оттенка
  • после того как прошло 20 минут, врач убирает действующий раствор с поверхности зубов и наносит свежую порцию вещества
  • по окончании отбеливания производится устранение остатков гели и защитного слоя с десен и наносится фторсодержащий препарат для восстановления эмали.
  • С уважением и любовью, команда "СтильДент"