Добавить в корзинуПозвонить
Найти в Дзене
Доктор Стриж

Три сестры по несчастью. Часть вторая

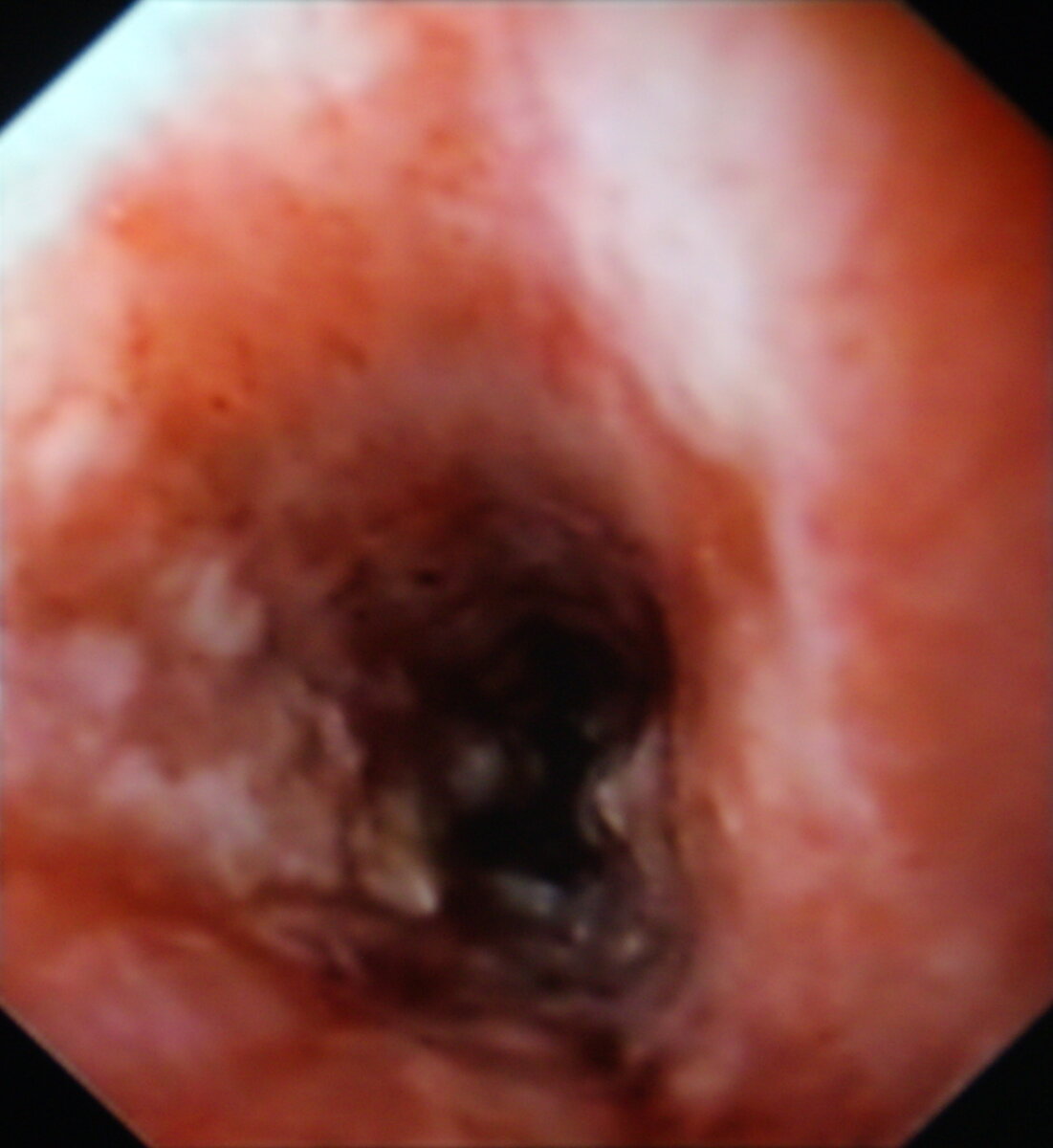
Две другие девицы были госпитализированы прямиком в ОРИТ, на соседние койки. Вторые-третьи сутки поле ожога пищевода самые тяжёлые. А там и прижигающее вещество было очень агрессивное и, что удивительно, одинаковое - средство для чистки труб "Крот". Хотя пили они его не вместе.
Вторая девочка была чуть постарше, а может хлебнула поменьше, а может организм оказался покрепче. Гадать можно бесконечно долго, но на поправку она пошла раньше. Ожог пищевода 3 степени подтвердился в своё время. Начали бужироваться. Всё шло довольно гладко до выписки на амбулаторное лечение. Мамаша оказалась прибухивающей. Являлась нерегулярно, часто приезжала в стельку пьяной. Что ещё надо суметь, так как бужирование проводится натощак, рано утром! А потом и вовсе не явилась.
Представьте себе моё удивление, когда через неделю в отделение позвонил её муж и стал требовать от меня своей жены и дочери, уехавших к нам на процедуры и больше не вернувшихся. К нашему общему счастью, через пару недель они нашлись

Две другие девицы были госпитализированы прямиком в ОРИТ, на соседние койки. Вторые-третьи сутки поле ожога пищевода самые тяжёлые. А там и прижигающее вещество было очень агрессивное и, что удивительно, одинаковое - средство для чистки труб "Крот". Хотя пили они его не вместе.

Вторая девочка была чуть постарше, а может хлебнула поменьше, а может организм оказался покрепче. Гадать можно бесконечно долго, но на поправку она пошла раньше. Ожог пищевода 3 степени подтвердился в своё время. Начали бужироваться.

Всё шло довольно гладко до выписки на амбулаторное лечение. Мамаша оказалась прибухивающей. Являлась нерегулярно, часто приезжала в стельку пьяной. Что ещё надо суметь, так как бужирование проводится натощак, рано утром! А потом и вовсе не явилась.

Представьте себе моё удивление, когда через неделю в отделение позвонил её муж и стал требовать от меня своей жены и дочери, уехавших к нам на процедуры и больше не вернувшихся.

К нашему общему счастью, через пару недель они нашлись, вернее, мамаша вернулась домой без паспорта, без полиса, без свидетельства о рождении, без весьма увесистой амбулаторной карточки, без денег, зато с живым ребёнком. Ещё пару раз она ко мне приезжала, а потом совсем исчезла. Рассказывают, что мужу надоело терпеть её выходки, он забрал дочь и ушёл.

Дальнейшая судьба девочки мне неизвестна, но берусь предположить, что проведённого курса бужирования оказалось достаточно. Ведь, если бы были проблемы, явились бы.