Добавить в корзинуПозвонить
Найти в Дзене

Студент-медик на работе: чему я научилась?

Как уже знают мои постоянные читатели, две недели назад я устроилась на работу в поликлинику в качестве медицинской сестры. Свободного времени стало

Всем привет! Меня зовут Рита, и я учусь на 4 курсе медицинского университета Москвы. В этом блоге я буду рассказывать о повседневной жизни студента-медика, необычных клинических случаях и современных методах лечения заболеваний. Присоединяйтесь!

Как уже знают мои постоянные читатели, две недели назад я устроилась на работу в поликлинику в качестве медицинской сестры. Свободного времени стало меньше, а вот интересных историй, которыми хочется поделиться, больше. Сегодня - о том, в какое же отделение я попала и чему научилась.

Распределили меня в травматологию, вернее, в травмпункт. Я уже отмечала, что из всех областей медицины наибольший интерес у меня вызывают травматология и оториноларингология (в народе - ЛОР-болезни), поэтому возможность прикоснуться к практической медицине меня очень вдохновила.

Что же я делаю?

Работа в травмпункте - какая угодно, только не монотонная :) переломы, ушибы, вывихи, раны, вакцинации от бешенства и столбняка - со всем этим (и многим другим) я столкнулась уже в первую неделю. Пациенты совершенно разные, и по возрасту, и по социальному статусу - был даже широко известный (в узких кругах :)) блогер.

вакцинировать от бешенства необходимо тех, кто получил царапину или укус от братьев наших меньших, особенно диких. Схема вакцинации длится 3 месяца
вакцинировать от бешенства необходимо тех, кто получил царапину или укус от братьев наших меньших, особенно диких. Схема вакцинации длится 3 месяца

Так как я работаю медицинской сестрой, в основном помогаю выполнять медсестринские манипуляции - инъекции, гипсование, снятие швов. Есть, конечно, и бумажная работа - заполнение различных протоколов и согласий довольно скучно и однообразно, но это тоже часть рабочего дня, поэтому я немного свыклась.

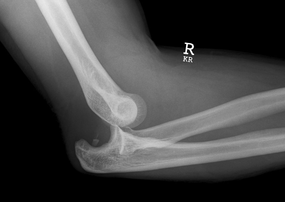
вот так выглядит вывих локтевого сустава. а еще вывих сопровождается ограничением движений в суставе. но вывихи встречаются относительно нечасто
вот так выглядит вывих локтевого сустава. а еще вывих сопровождается ограничением движений в суставе. но вывихи встречаются относительно нечасто

Моё любимое в работе - просмотр рентгенограмм. В условиях травмпункта нет возможности выполнить КТ или МРТ, поэтому повреждения мягких тканей диагностируют по результатам осмотра, а при подозрении на перелом или вывих - отправляют на рентген. Ждать описания рентгенолога возможности нет, особенно ночью, поэтому врачу необходимо смотреть самостоятельно и выносить вердикт.

Не болейте!

здесь - как я попала на работу