Найти в Дзене
Мама-доктор

Что означают выявленные на КТ фиброзные изменения и плевральные спайки в лёгких

За последние полгода резко возросло число проводимых КТ легких в связи с тем, что практически всем пациентам с подтвержденной новой инфекцией или при подозрении на нее, назначают экспертное исследование органов грудной клетки.
Прежде всего рентгенологи в таких случаях исключает наличие инфильтративных изменений, уплотнений легочной ткани по типу «матового стекла», что характерно для вирусной

За последние полгода резко возросло число проводимых КТ легких в связи с тем, что практически всем пациентам с подтвержденной новой инфекцией или при подозрении на нее, назначают экспертное исследование органов грудной клетки.

Прежде всего рентгенологи в таких случаях исключает наличие инфильтративных изменений, уплотнений легочной ткани по типу «матового стекла», что характерно для вирусной пневмонии.

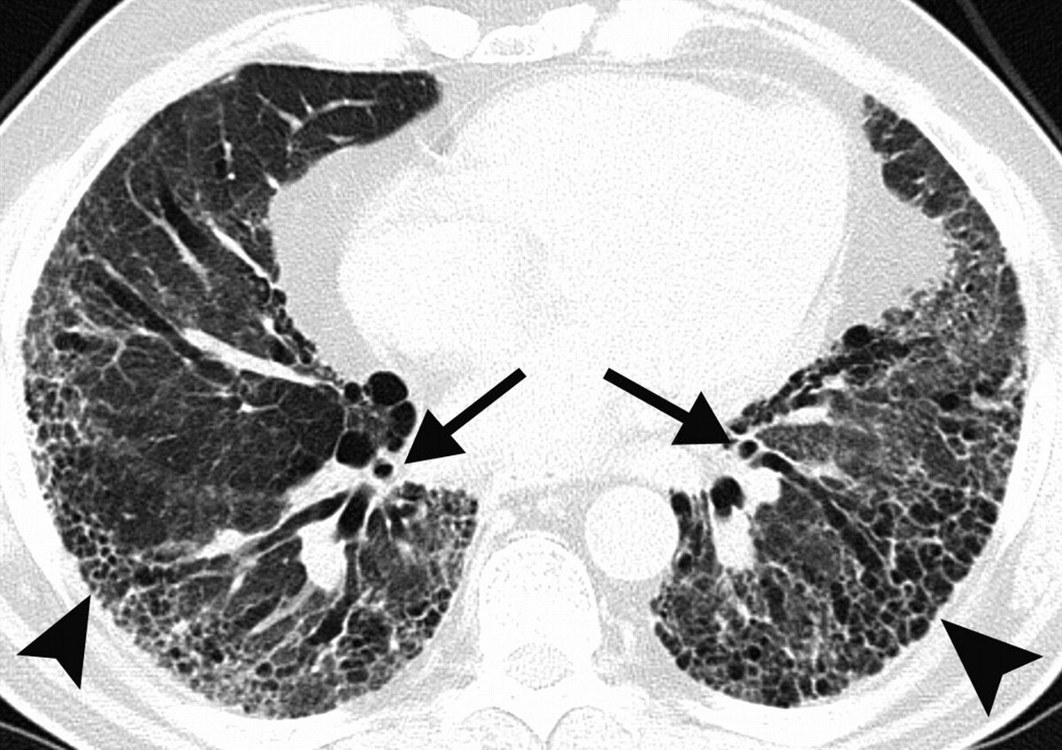
Но нередко у пациентов находят фиброзные измененения в каком-то сегменте или сегментах легких, а также плевроапикальные наслоения.

Что касается плевроапикальных наслоений, то они могут выявляться и на обычном рентгене и представляют собой спайки, образующиеся между листками плевры верхушек лёгких.

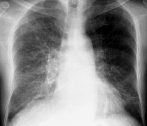
Признаки диффузного фиброза лёгких на рентгенограмме
Признаки диффузного фиброза лёгких на рентгенограмме

Считается, что такие наслоения являются следствием перенесенного воспаления. Это может быть пневмония, туберкулёз в анамнезе.

В действительности, случайно обнаруженные подобные спайки на рентгене или КТ лёгких не представляют никакой опасности и не требуют дообследования.

Что же касается фиброзных изменений в легких, то они свидетельствуют о замещении легочной воздушной ткани с формированием соединительной ткани. Это происходит после перенесенных воспалительных или дистрофических заболеваний легких.

Если фиброзная ткань занимает один или пару сегментов легких, то это не влияет на их функцию. При выраженном распространенном или диффузном пневмофиброзе может страдать газообмен и уменьшаться жизненная емкость лёгких, что проявляется у таких больных одышкой и плохой переносимостью физической нагрузки.

Дополнение: По результатам компьютерной томографии рекомендуется проконсультироваться с лечащим врачом!

Спасибо, что дочитали! Понравилась статья- ставьте лайк и подписывайтесь на мой канал!