Найти в Дзене

Стань атлетичнее

В то время как все усиленно пытаются сжечь подкожный жир, хочу с вами поговрить на такую тему как внутренний жир.

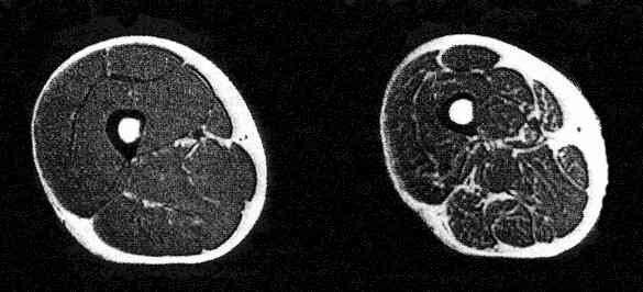
Возможно, многие знают о таком деликатесе, как «мраморное» мясо. Это мясо с различным количеством внутримышечного жира, что в разрезе напоминает мраморный узор. Придумали готовить такое мясо впервые в Японии. Большинство полей там засеяны рисом и животным негде двигаться, кормят их зерновой культурой, а не травой, к тому же в их рацион добавляют пиво и сакэ. Тех животных, которые уже подросли, подвешивают на вожжах, чтобы они не могли двигаться, но и не лежали. Так как если животное активно бегает и ест траву, мясо не будет содержать столько жира. 

Никого не напоминает?

Малоподвижный образ жизни в сочетании с алкоголем и углеводной пищей это образ жизни большинства.

Первыми симптомами является мышечная слабость, снижение силовых показателей и потеря мышечной массы или саркопения. 

Бывает так, что подкожного жира не много, а силовые результаты упали. Это означает, что вы теряете мышцы.

На фото предствлена нижняя конечность разных людей в сечении на МРТ. (Темные участки - мышцы, светлые - жир, светлый участок по середине - кость)