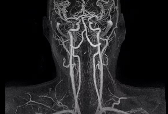
КТ сосудов шеи применяется для обнаружения патологий шейных вен, венул и артерий даже на ранних этапах их развития. Современные аппараты для МСКТ с частотой срезов от 12 до 324 позволяют достигать шага сканирования в 0,5 мм и обнаруживать самые мельчайшие патологические изменения в шейных сосудах. Компьютерная томография относится к классу рентгенологических исследований, что предполагает воздействие на организм пациента ионизирующего облучения. Интенсивность этого излучения у мультиспиральных томографов в среднем составляет 5-7 мЗв. Из-за лучевой нагрузки компьютерная томография сосудов шеи является относительно безопасным вариантом лучевой диагностики, однако проигрывает безвредной МРТ сосудов шеи и УЗИ, которые не несут в себе никакого эффекта облучения.
ПОКАЗАНИЯ
Заболевания сосудов шеи тесно связаны с неврологическими проблемами, поэтому людям с подозрением на них нередко проводят комплексную КТ ангиографию сосудов головы и шеи. Такое обследование помогает найти причины таких симптомов, как:
- Регулярные головные боли и мигрени.
- Головокружения и обмороки.
- Двоение в глазах и шум в ушах.
Своевременно проведенная мультиспиральная ангиография зоны шеи позволит точно поставить диагноз, вовремя начать лечение патологий магистральных сосудов и снизить риск инсульта и нарушений кровоснабжения головного мозга.
ЧТО ПОКАЖЕТ КТ ШЕЙНЫХ СОСУДОВ?
С помощью КТ сосудов шеи определяют:
- Патологические расширения сосудов.
- Расслоение их стенок.
- Тромбозы, мальформации, извилистости.
- Сужение просвета сонных артерий из-за атеросклероза.
- Воспаления интимы.
- Врожденные патологии сонных артерий.
- Разрывы стенок и кровоизлияния.
КТ сосудов шеи с контрастированием применяют при онкологических заболеваниях. Это исследование позволит увидеть, какие сосуды питают новообразование, что поможет хирургу лучше подготовиться к операции по удалению опухоли.
КАК ДЕЛАЮТ КТ СОСУДОВ ШЕИ?
КТ ангиография сосудов шеи проводится амбулаторно – пациенту необязательно ложиться в больницу, чтобы подготовиться к исследованию. Нужно только записаться на КТ сосудов шеи заранее и прийти в диагностический центр за 15 минут до сканирования. КТ ангиографии сосудов шеи всегда предшествует интервью со специалистом-рентгенологом. Его задача – изучение анамнеза пациента и его информирование об особенностях проведения диагностической процедуры. Врач детально расскажет, что и как нужно делать, объяснит, для чего во время КТ сосудов головы и шеи применяют контрастное вещество. Контрастирование – важный этап проведения любой КТ ангиографии, поскольку без контраста артерии и вены на снимке будут малозаметными. Это затрудняет постановку диагноза, делая диагностическую процедуру бессмысленной. Введение контрастного вещества на базе йода обычно осуществляется внутривенно через катетер. В современных томографических центрах СПб для этого применяют автоматизированный дозатор, с помощью которого контраст вводится в кровь постепенно.
Непосредственно процедура сканирования длится не более 10 минут. Все это время пациент лежит в камере томографа на специальном столе, который поднимается и опускается, позволяя аппарату делать снимки с разных ракурсов. От диагностируемого требуется соблюдать спокойствие, выполнять команды врача, подаваемые по громкой связи, и сообщать медработнику о любых изменениях в самочувствии. Компьютерная программа, управляющая работой томографа, по ходу скрининга выстраивает на основании серии снимков полноценную трехмерную модель сосудистого русла шеи и головы, на которой видны все основные и периферические ветви. Эти данные оценивает врач-рентгенолог и в своем заключении отмечает любые выявленные аномалии. Такая подготовка результатов обычно занимает около часа.
После КТ пациенту рекомендуется много пить – это ускорит вымывание из организма контрастного вещества. Оно полностью выводится мочевыделительной системой за 24-36 часов.
ПРОТИВОПОКАЗАНИЯ И РИСКИ
КТ сосудов шеи с контрастом имеет ряд абсолютных противопоказаний. Это:
- беременность;
- аллергия на йод;
- тяжелая форма почечной и печеночной недостаточности.
Контрастное вещество содержит йод, поэтому перед началом обследования врач должен провести пробу и определить склонность пациента к аллергическим реакциям. Если после введения пробной дозы контраста пациент чувствует боль, жжение, а конечность начинает отекать и покрываться сыпью, об этих симптомах нужно немедленно сообщить врачу. При обнаружении такой склонности к аллергии на йод контрастирование не проводится.
Если КТ сосудов шеи необходимо провести больным с проблемными почками, может потребоваться сдать анализы крови и мочи для определения функции мочевыделения. Почечная недостаточность замедляет процесс выведения контраста из организма, что может привести к нефропатии. Диабетикам, людям с болезнью щитовидной железы, лицам, страдающим клаустрофобией и проблемами с сердцем, нужно детально обсудить процесс подготовки к КТ ангиографии сосудов с лечащим врачом.
СКОЛЬКО СТОИТ МСКТ СОСУДОВ ШЕИ С КОНТРАСТИРОВАНИЕМ В КЛИНИКАХ САНКТ-ПЕТЕРБУРГА?
Обычно в стоимость КТ сосудов шеи входит само сканирование, распечатка снимков, первичное заключение рентгенолога и файл с видеозаписью всей процедуры. По цене КТ ангиография сосудов шеи – недешевая процедура. Ее ценообразование зависит от области сканирования (сосуды шеи или голова + шея), срезовости аппарата и дозы контрастного вещества. Последнее рассчитывается по весу пациента. На нашем сайте собраны лучшие диагностические центры, оказывающие услуги МРТ и КТ в Санкт-Петербурге. Вы сможете сравнить цены, изучить отзывы и выбрать подходящий кабинет в Вашем районе. Консультанты Общегородского центра по записи на диагностику с удовольствием ответят на любые вопросы касаемо подготовки к КТ ангиографии и запишут вас на диагностику по выгодным ценам с максимальным учетом скидок.
