Найти в Дзене
Все о КТ и МРТ

МРТ ПРИ АДЕНОМЕ ПРЕДСТАТЕЛЬНОЙ ЖЕЛЕЗЫ

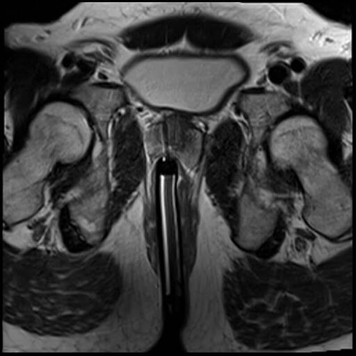
МРТ - это вспомогательный метод диагностики аденомы предстательной железы (гиперплазии), который осуществляют в клиниках СПб в рамках процедуры - МРТ простаты на высокопольном томографе мощностью не менее 1,5 Тесла эндоректальным способом. Основным способом обследования при подозрении на это доброкачественное опухолевое образование все же является двойное УЗИ простаты - абдоминальное и трансректальное (ТРУЗИ). МРТ исследование носит экспертный и уточняющий характер, когда под вопросом стоит качество образования (доброкачественность или злокачественность). ЧТО ТАКОЕ АДЕНОМА ПРЕДСТАТЕЛЬНОЙ ЖЕЛЕЗЫ Аденома предстательной железы (или доброкачественная гиперплазия предстательной железы) встречается у очень большого процента мужского населения Санкт-Петербурга. По медицинской статистике ее признаки начинают развиваться у 15% мужчин уже в возрасте 40 лет, а в возрасте после 70-75 лет процент заболевших составляет уже 84%.   СИМПТОМЫ АДЕНОМЫ ПРЕДСТАТЕЛЬНОЙ ЖЕЛЕЗЫ Заподозрить аденому простаты
Оглавление

МРТ - это вспомогательный метод диагностики аденомы предстательной железы (гиперплазии), который осуществляют в клиниках СПб в рамках процедуры - МРТ простаты на высокопольном томографе мощностью не менее 1,5 Тесла эндоректальным способом. Основным способом обследования при подозрении на это доброкачественное опухолевое образование все же является двойное УЗИ простаты - абдоминальное и трансректальное (ТРУЗИ). МРТ исследование носит экспертный и уточняющий характер, когда под вопросом стоит качество образования (доброкачественность или злокачественность).

-2

ЧТО ТАКОЕ АДЕНОМА ПРЕДСТАТЕЛЬНОЙ ЖЕЛЕЗЫ

Аденома предстательной железы (или доброкачественная гиперплазия предстательной железы) встречается у очень большого процента мужского населения Санкт-Петербурга. По медицинской статистике ее признаки начинают развиваться у 15% мужчин уже в возрасте 40 лет, а в возрасте после 70-75 лет процент заболевших составляет уже 84%.  

СИМПТОМЫ АДЕНОМЫ ПРЕДСТАТЕЛЬНОЙ ЖЕЛЕЗЫ

Заподозрить аденому простаты мужчина может, если он начинает замечать следующие симптомы:

  • струя мочи становится тоньше;
  • длительность мочеиспускания становится длиннее;
  • требуются дополнительные натуги при мочеиспускании;
  • есть чувство неполного опорожнения;
  • есть симптом острой задержки мочи;
  • присутствуют неудержимые позывы помочиться.

КАК РАЗВИВАЕТСЯ АДЕНОМА ПРОСТАТЫ

-3

У мужчины в толще предстательной железы проходит мочеиспускательный канал. В нормальном состоянии предстательная железа - это довольно небольшое образование. Ее объём составляет 2,5 - 3,5 см3. При здоровом состоянии простаты мочеиспускание происходит естественным образом и без боли. Из почек моча поступает в мочевой пузырь и постепенно заполняет его. При наполненном мочевом пузыре через мочеиспускательный канал происходит опорожнение. В норме предстательная железа никаким образом не препятствует мочеиспусканию. Однако при аденоме простаты происходит разрастание - то есть, увеличения в объеме предстательной железы, и она начинает сдавливать мочеиспускательный канал, тем самым препятствуя естественному выводу мочи.

ПРИЗНАКИ АДЕНОМЫ ПРЕДСТАТЕЛЬНОЙ ЖЕЛЕЗЫ НА МРТ

Диагностика аденомы простаты в большинстве случаев осуществляется в ходе двойного ультразвукового обследования - ТРУЗИ и абдоминальное УЗИ. Необходимость сделать МРТ при аденоме возникает только, когда по результатам ультразвука у врача возникает подозрение, что образование может иметь злокачественный потенциал. Чтобы провести точную дифференциальную диагностику аденомы и рака простаты назначается сделать МРТ предстательной железы с контрастом. Такую магнитно-резонансную диагностику следует осуществлять в медицинских центрах с высокопольными томографами мощностью 1,5 Тесла и выше.

Признаками аденомы предстательной железы на МРТ будут:

  • наличие образование с четкими краями;
  • ненакпливание контрастного вещества в тканях образования;
  • отсутствие инвазии в мочеиспускательный канал.