Добавить в корзинуПозвонить
Найти в Дзене
Нейроновости

Курение и диабет кальцифицируют гиппокамп, но на память это не влияет

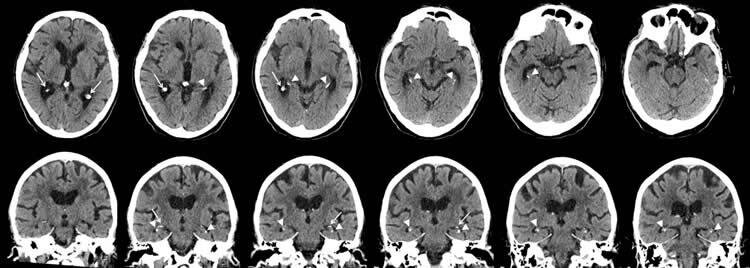
Иногда ученые выступают в категории «капитана очевидность»: подтверждают исследованиями то, что «и так все знали». Исследователи из Университетского медицинского центра в Утрехте решили проверить, вроде бы очевидную связь, но получили один интересный «побочный» результат и один просто неожиданный. Эти результаты опубликованы в журнале Radiology. Сильная кальцификация гиппокампа (показано стрелками) Итак, хорошо известно, что в старости многие страдают когнитивными проблемами, особенно – с памятью. Хорошо известно, что за формирование и функционирование памяти отвечает гиппокамп. И хорошо известно (гистологически), что в старости у многих наблюдается кальцификация гиппокампа – в той или иной степени. Однако до сравнительно недавнего времени у врачей не было достаточно мощного инструмента для того, чтобы увидеть кальцификацию гиппокампа в живом человеке и отличить ее от кальцификации сосудов. Тем не менее, появившаяся в последнее десятилетие мультипланарная компьютерная томография это п

Иногда ученые выступают в категории «капитана очевидность»: подтверждают исследованиями то, что «и так все знали». Исследователи из Университетского медицинского центра в Утрехте решили проверить, вроде бы очевидную связь, но получили один интересный «побочный» результат и один просто неожиданный. Эти результаты опубликованы в журнале Radiology.

Сильная кальцификация гиппокампа (показано стрелками)

Итак, хорошо известно, что в старости многие страдают когнитивными проблемами, особенно – с памятью. Хорошо известно, что за формирование и функционирование памяти отвечает гиппокамп. И хорошо известно (гистологически), что в старости у многих наблюдается кальцификация гиппокампа – в той или иной степени.

Однако до сравнительно недавнего времени у врачей не было достаточно мощного инструмента для того, чтобы увидеть кальцификацию гиппокампа в живом человеке и отличить ее от кальцификации сосудов. Тем не менее, появившаяся в последнее десятилетие мультипланарная компьютерная томография это позволяет.

Достаточно мощное исследование охватило 1991 пациента, посетившего клинику памяти Голландского госпиталя общего назначения с 2009 по 2015 годы. Средний возраст пациентов составил 78 лет. Все участники исследования прошли когнитивные тесты и КТ-сканирование. У 19.1 процента (то есть, 380 человек) обнаружилась кальцификация гиппокампа – в той или иной степени.

Оказалось, что эта проблема имеет стойкую корреляцию с двумя факторами – курение и диабет.

 «Мы считаем, что курение и диабет являются факторами риска, – говорит ведущий автор исследований, Эстер де Брувер. – В недавнем  гистопатологичесом исследовании кальцификацию гиппокампа обнаружили как манифестацию заболевания сосудов. Хорошо известно, что курение и диабет являются факторами риска сердечно-сосудистых заболеваний. Поэтому, вероятно, что курение и диабет являются факторами риска кальцификации гиппокампа».

Удивило другое: кальцификация киппокампа никак не была связана с проблемами с памятью и вообще когнитивными нарушениями. Авторы работы видят два потенциальных объяснения феномену.

«Гиппокамп состоит из разных слоев, и возможно, что кальцификации не повредили структуру гиппокампа, которая важна для хранения памяти, – сказала Брувер.  – Другим объяснением может быть отбор участников нашего исследования, которые все пришли из клиники памяти».

Поэтому, как водится, авторы заявляют, что им нужны дальнейшие исследования, чтобы выяснить, почему факты не укладываются в их гипотезу.

Текст: Алексей Паевский

“Hippocampal Calcifications: Risk Factors and Association with Cognitive Function” by Esther J. M. de Brouwer, Remko Kockelkoren, Jules J. Claus, Annemarieke de Jonghe, Mirjam I. Geerlings, Thomas E. F. Jongsma, Willem P. T. M. Mali, Jeroen Hendrikse, Pim A. de Jong, and Huiberdina L. Koek in Radiology. Published June 12 2018
doi:10.1148/radiol.2018172588

Читайте материалы нашего сайта в FacebookВКонтактеЯндекс-Дзен и канале в Telegram, а также следите за новыми картинками дня в Instagram.