Добавить в корзинуПозвонить
Найти в Дзене
Нейроновости

Заяц-убийца в головном мозге

Редко когда научные публикации делаются без особой научной ценности — теоретической или практической. Тем не менее, в недавнем номере журнала World Neurosurgery два хирурга, Тарик Массуд и Александр Калнинш из Стэнфордского университета опубликовали просто клинический случай «очередной» глиобластомы. И нельзя ведь сказать, что публикация — бесполезна. Credit: Tarik Massud В статье, собственного текста которой — страничка, авторы публикуют глиобластому 46-летней пациентки, скончавшейся через три с половиной года после постановки диагноза. Увы, такая опухоль почти всегда смертельна. И публикация призвана подчеркнуть смертельность заболевания и привлечь внимание к разработке новых методов лечения. Дело в том, что на МРТ опухоль очень напоминает по форме зайца, причем так, как его изображают в распространённых средневековых миниатюрах, где он часто выступает в роли убийцы рыцаря (вспомним фильм про Монти Пайтона и кролика-убийцу, сторожившего вход в пещеру Каербанног). Авторы подчеркивают

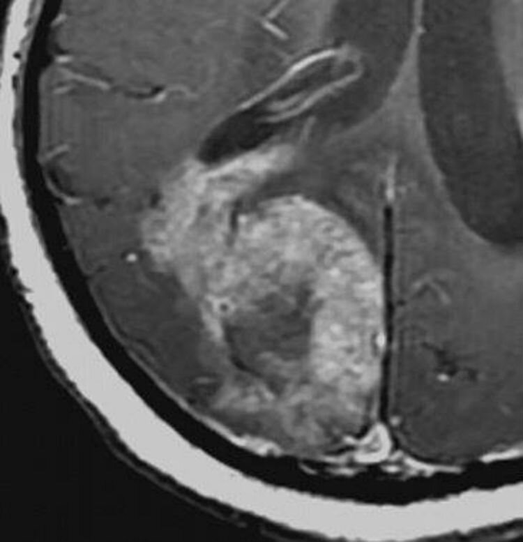
Редко когда научные публикации делаются без особой научной ценности — теоретической или практической. Тем не менее, в недавнем номере журнала World Neurosurgery два хирурга, Тарик Массуд и Александр Калнинш из Стэнфордского университета опубликовали просто клинический случай «очередной» глиобластомы. И нельзя ведь сказать, что публикация — бесполезна.

Credit: Tarik Massud

В статье, собственного текста которой — страничка, авторы публикуют глиобластому 46-летней пациентки, скончавшейся через три с половиной года после постановки диагноза. Увы, такая опухоль почти всегда смертельна. И публикация призвана подчеркнуть смертельность заболевания и привлечь внимание к разработке новых методов лечения.

Дело в том, что на МРТ опухоль очень напоминает по форме зайца, причем так, как его изображают в распространённых средневековых миниатюрах, где он часто выступает в роли убийцы рыцаря (вспомним фильм про Монти Пайтона и кролика-убийцу, сторожившего вход в пещеру Каербанног).

-2
-3

Авторы подчеркивают смертельность заболевания и призывают к максимальному освещению проблемы глиобластомы. Наш портал полностью поддерживает эту инициативу и уже опубликовал обзорную статью посвященную глиальным опухолям мозга вообще.

Читайте материалы нашего сайта в FacebookВКонтакте и канале в Telegram, а также следите за новыми картинками дня в Instagram.