Добавить в корзинуПозвонить
Найти в Дзене
Нейроновости

Откуда берутся галлюцинации при болезни Паркинсона

Обычно принято считать, что болезнь Паркинсона – это только моторные нарушения: тремор, застывание при ходьбе, соответствующая поза. Даже сам Джеймс Паркинсон в своем «Эссе о дрожательном параличе» указал, что заболевание протекает без поражения разума и чувств. Люди, более наслышанные о болезни, знают, что при болезни Паркинсона очень распространена деменция. Однако этим психические проявления заболевания не ограничиваются. Как показывает клиническая практика, около половины всех пациентов испытывают галлюцинации, от самых лёгких форм («чувство прохождения» — когда больной ощущает, что кто-то прошел за его спиной или «ощущения присутствия» — когда он ощущает, что кто-то находится с ним в одном помещении) до полноценных тяжелых форм. Неврологи и радиологи из Свободного университета Амстердама (VU University Amsterdam), кажется, выяснили, откуда берутся при этом заболевании галлюцинации. Исследование опубликовано в журнале Radiology. фМРТ-изображения показывают снижение региональных фу

Обычно принято считать, что болезнь Паркинсона – это только моторные нарушения: тремор, застывание при ходьбе, соответствующая поза. Даже сам Джеймс Паркинсон в своем «Эссе о дрожательном параличе» указал, что заболевание протекает без поражения разума и чувств.

Люди, более наслышанные о болезни, знают, что при болезни Паркинсона очень распространена деменция. Однако этим психические проявления заболевания не ограничиваются. Как показывает клиническая практика, около половины всех пациентов испытывают галлюцинации, от самых лёгких форм («чувство прохождения» — когда больной ощущает, что кто-то прошел за его спиной или «ощущения присутствия» — когда он ощущает, что кто-то находится с ним в одном помещении) до полноценных тяжелых форм. Неврологи и радиологи из Свободного университета Амстердама (VU University Amsterdam), кажется, выяснили, откуда берутся при этом заболевании галлюцинации. Исследование опубликовано в журнале Radiology.

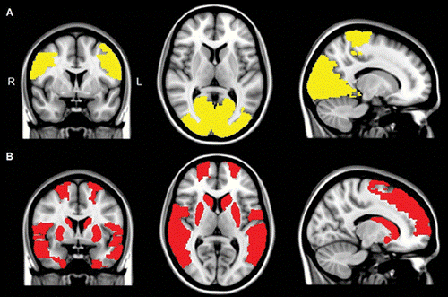
фМРТ-изображения показывают снижение региональных функциональных связей у пациентов с БП (А) и у пациентов с БП и галлюцинациями (В). Анализ функциональной связности покахывает более слабую связь у пациентов В, а также А по сравнению с контрольной группой в парацентральной и затылочной областях (показано желтым). Функциональные связи во фронтальной, височной и подкорковой областях намного ниже у пациентов В по сравнению с контролем. Илл: M. Schoonheim, VUMC.

Для исследования авторы применили метод функциональной магниторезонансной томографии. Трем группам — 15 пациентам с  болезнью Паркинсона и галлюцинациями, 40 без них и 15 здоровых добровольцев (контроль) – провели так называемую фМРТ покоя, в которой выполнялось исследование работы мозга в то время, как пациент лежит в томографе и не думает ни о чем, не выполняет ни одну когнитивную задачу.

Оказалось, что у всех пациентов с болезнью Паркинсона наблюдалось снижение функциональной связности некоторых областей мозга с остальной корой (см. илл. и подпись к нему), однако у пациентов с галлюцинациями нарушение связности было особо ярко выражено. Таким образом, вероятно, что галлюцинации связаны с нарушением межнейронных связей в областях мозга, вовлеченных во внимание и обработку зрительной информации.

Следующим этапом работы должна стать стимуляция постоянным током областей, связи с которыми нарушены. Авторы предполагают, что это может ослабить галлюцинации у больных.

Текст: Алексей Паевский