Найти в Дзене
Войти
1,0×
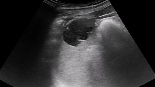
Видео к статье " ВНИМАТЕЛЬНОСТЬ И ЕЩЕ РАЗ ВНИМАТЕЛЬНОСТЬ" https://dzen.ru/a/aT_UUVK2zBjCoQvs
2 просмотра · 3 дня назад
00:00
/
00:10
Ультразвуковые находки от врача УЗД Зорина Я.П.
479 подписчиков
Подписаться
44920727.2001.1765997998798.16497