Найти в Дзене
Войти
1,0×
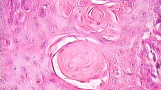
Плоскоклеточный рак
32 просмотра · 4 месяца назад
00:00
/
00:07
ветеринарная консультация
48 подписчиков
Подписаться
1353711287.1936.1766811660815.95258