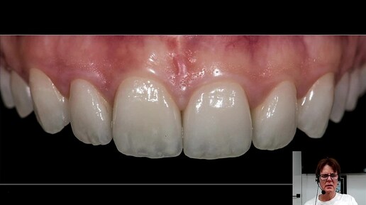
Корректор эмали и скульптор, создающий идеальную поверхность (концепция цифровой стоматологической команды).