Найти в Дзене
Войти
1,0×
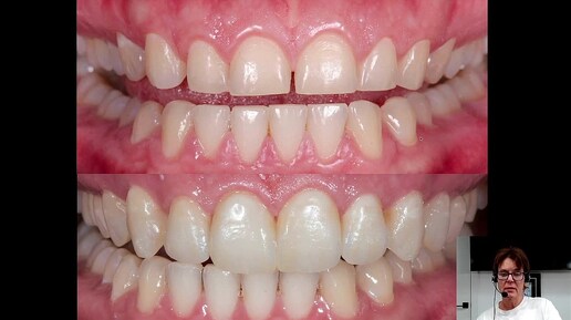
Современная керамика и «команда цифровой стоматологии».
4 месяца назад
00:00
/
01:17:11
Новости стоматологии
16 подписчиков
Подписаться
350479030.1850.1766120784002.39405