Найти в Дзене
Войти
1,0×
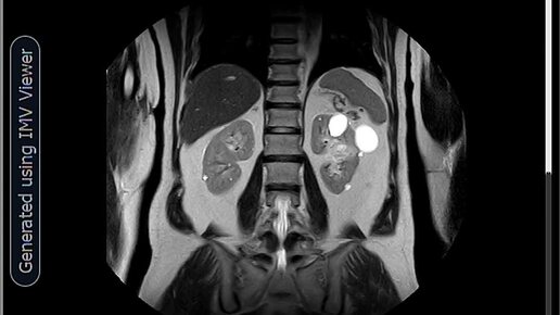
Множественные кисты почек.
19 просмотров · 8 месяцев назад
00:00
/
00:46
Военно-врачебная экспертиза.Р-гр,МРТ.
11 подписчиков
Подписаться
2529705577.783.1775050259350.33491