Найти в Дзене
Войти
1,0×
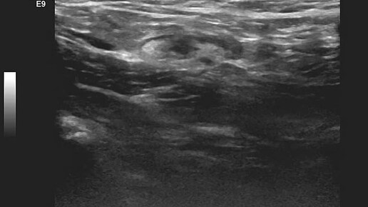
Видео к статье: "Микрометастаз" в лимфатическом узлеhttps://dzen.ru/a/aD_vEeN4BUINS3HY
26 просмотров · 5 месяцев назад
00:00
/
00:28
Ультразвуковые находки от врача УЗД Зорина Я.П.
449 подписчиков
Подписаться
3752607079.1673.1761064503949.93938