Найти в Дзене
Войти
1,0×
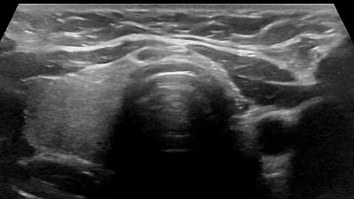
Видео к статье "Аплазия доли щитовидной железы"Адрес: https://dzen.ru/a/aBhLHPV5_mqxaPN7
3 просмотра · 12 месяцев назад
00:00
/
00:35
Ультразвуковые находки от врача УЗД Зорина Я.П.
564 подписчиков
Подписаться
2502164914.983.1777471907682.55017