Найти в Дзене
Войти
1,0×
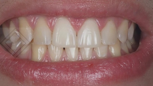
Реставрация передних зубов композитом. Закрытие щелей между зубами. Виниры до и после
113 просмотров · 9 месяцев назад
00:00
/
02:18
Стоматологическая клиника докторов Копыловых
7 подписчиков
Подписаться
2157989940.1824.1761249493987.32042