Найти в Дзене
Войти
1,0×
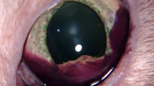
Артериальная гипертензия у кошки. Внутриглазное кровоизлияние. Буллезное отслоение сетчатки.
33 просмотра · 1 год назад
00:00
/
02:52
ГЛАЗАМИ ВЕТЕРИНАРА
318 подписчиков
Подписаться
3752607079.883.1776673685794.14928