Найти в Дзене
Войти
1,0×
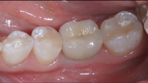
Удаление, имплантация и протезирование бокового зуба. Коронка на имплантате.
2 просмотра · 9 месяцев назад
00:00
/
01:06
Стоматологическая клиника докторов Копыловых
7 подписчиков
Подписаться
2157989940.1824.1761249493987.32042