Найти в Дзене
Войти
1,0×
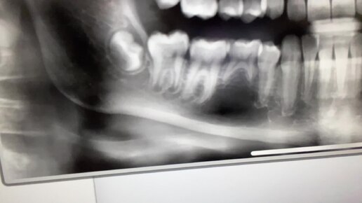
Ретенированные зубы. Разбор клинического случая, обоснование выбора тактики лечения.
13 просмотров · 1 год назад
00:00
/
06:00
Дарья Михайлова, врач стоматолог-ортодонт. Мои Михайловские Истории
48 подписчиков
Подписаться
3812841875.857.1775276413989.23720