Найти в Дзене
Войти
1,0×
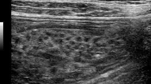
Спагетти в желудке. Видео к статье https://dzen.ru/a/ZwZGUaVaaQByJHfP
21 просмотр · 2 года назад
00:00
/
00:19
Ультразвуковые находки от врача УЗД Зорина Я.П.
564 подписчиков
Подписаться
2337875327.755.1777394865992.37179