Найти в Дзене
Войти
1,0×
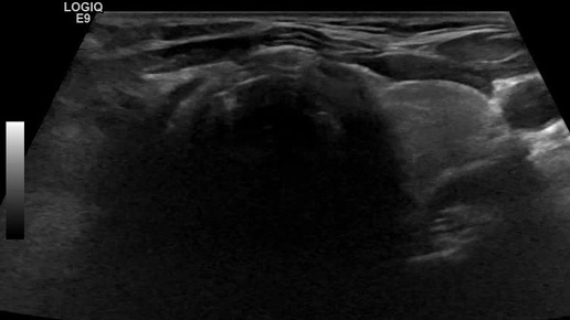
Видео к статье "Стратификация узлов щитовидной железы. TI-RADS-4" https://dzen.ru/a/ZwNx-uQp-Sfk6L46
3 просмотра · 1 год назад
00:00
/
00:55
Ультразвуковые находки от врача УЗД Зорина Я.П.
556 подписчиков
Подписаться
2795507249.825.1775480203066.16715