Найти в Дзене
Войти
1,0×
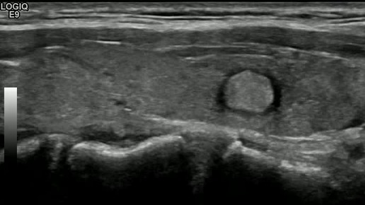
Видео к статье "Стратификация узлов щитовидной железы. TI-RADS-3" https://dzen.ru/a/Zv4svErHVi-eImKZ
3 просмотра · 2 года назад
00:00
/
00:25
Ультразвуковые находки от врача УЗД Зорина Я.П.
559 подписчиков
Подписаться
1347242300.931.1775960070293.33090