Найти в Дзене
Войти
1,0×
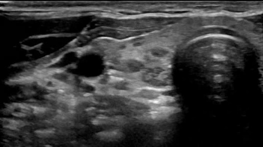
Видео к статье "Стратификация узлов щитовидной железы. TI-RADS-3" https://dzen.ru/a/Zv4svErHVi-eImKZ
3 просмотра · 2 года назад
00:00
/
00:23
Ультразвуковые находки от врача УЗД Зорина Я.П.
561 подписчиков
Подписаться
1488197551.992.1776609448272.18802