Найти в Дзене
Войти
1,0×
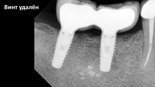
Удаление сломанного винта имплантата типа TL
662 просмотра · 2 года назад
00:00
/
01:37
Имплантариум Рауфа Алиева
345 подписчиков
Подписаться
Хотите видеть больше публикаций по теме «Увлечения»?
Давайте
Увлечения
5,07 млн интересуются
Следить за темой
3785792931.940.1775236229079.44677